| UNIPROT | O75475 |
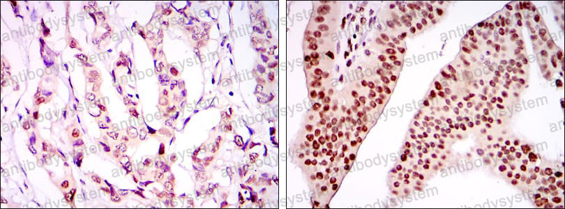
Anti-PSIP1 Antibody (R2V74) (RHB22004)
Реактивность подтвержденная:
человек, крыса, обезьяна
Источник (хозяин):
мышь
Валидировано для:
ELISA
IF
IHC
WB
Характеристики
Техническое описание
| Русское название | RHB22004 Моноклональное антитело к PSIP1 (R2V74) <AntibodySystem,Китай> |
| Каталожный номер | RHB22004 |
| Название антигена | Lens Epithelium Derived Growth Factor (LEDGF) |
| UNIPROT | O75475 |
| Английские синонимы | PSIP1, p75, p52, DFS70, PAIP, PSIP2, PC4 And SFRS1 Interacting Protein 1, CLL-associated antigen KW-7, Dense fine speckles 70 kDa protein, Transcriptional coactivator p75/p52 |
Реактивность подтвержденная Нужна другая реактивность? |
человек, крыса, обезьяна |
| Источник (хозяин) | мышь |
| Изотип | IgG1 |
| Клональность | моноклональное |
| Клон | R2V74 |
| Рекомбинантное | да |
| Готовое к использованию | нет |
| Концентрация | 1 мг/мл |
| Конъюгат | нет |
| Валидировано для | ELISA IF IHC WB Иммуноферментный анализ; Иммунофлуоресценция; Иммуногистохимия; Вестерн-блоттинг |
| Рекомендуемые разведения | ELISA: 1:10000, IF: 1:200-1:1000, IHC: 1:200-1:1000, WB: 1:500-1:2000 |
| Метод очистки | Очистка с белками A/G из супернатанта клеточной культуры |
| Чистота | >95% |
| Состав буфера | 0.01M PBS, pH 7.4, 0.05% натрия азид |
| Условия доставки | термобокс с аккумуляторами холода |
| Условия хранения | Хранить при 4°C не более 1-2 недель. Хранить при -20°C - 12 месяцев |
| Срок хранения | 12 месяцев |
| Производитель | AntibodySystem |
| Ссылка на страницу товара на сайте производителя | https://www.antibodysystem.com/product/34261.html |
|
Артикул
|
Наименование |
Производитель
|
|---|
|
Артикул
|
Наименование |
Производитель
|
|---|
|
Артикул
|
Наименование |
Производитель
|
|---|
|
Артикул
|
Наименование |
Производитель
|
|---|
|
Артикул
|
Наименование |
Производитель
|
|---|
Акции и предложения
Популярные продукты:
Sheep Carbonic Anhydarse XII (CA12) (E14C0874)
Организм: овца
Anti-PSIP1 Antibody (R2V74) (RHB22004)
Источник (хозяин): мышь
Реактивность подтвержденная: человек, крыса, обезьяна
Валидировано для: ELISA, IF, IHC, WB
Реактивность подтвержденная: человек, крыса, обезьяна
Валидировано для: ELISA, IF, IHC, WB
FITC-Linked Guinea pig Anti-Rabbit IgG Polyclonal Antibody (SAA544Rb58)
Изотип: IgG
Источник (хозяин): морская свинка
Реактивность подтвержденная: кролик
Валидировано для: WB, IHC, ICC, IF
Источник (хозяин): морская свинка
Реактивность подтвержденная: кролик
Валидировано для: WB, IHC, ICC, IF
ELISA Kit for RAB1A, Member RAS Oncogene Family (RAB1A) (SEJ783Hu)
Организм: человек
Диапазон определения: 0.156-10 нг/мл
Чувствительность: 0.067 нг/мл
Диапазон определения: 0.156-10 нг/мл
Чувствительность: 0.067 нг/мл
OR5D3 Mouse Monoclonal Antibody (BF9376)
Источник (хозяин): мышь
Реактивность подтвержденная: человек, мышь
Валидировано для: WB
Реактивность подтвержденная: человек, мышь
Валидировано для: WB
POMK Mouse Monoclonal Antibody (BF8781)
Источник (хозяин): мышь
Реактивность подтвержденная: человек
Валидировано для: WB
Реактивность подтвержденная: человек
Валидировано для: WB

