| UNIPROT | P28062 |
Anti-PSMB8 Antibody (R3H50) (RHD76102)
Реактивность подтвержденная:
человек, крыса
Источник (хозяин):
мышь
Валидировано для:
ELISA
IF
IHC
WB
Характеристики
Техническое описание
| Русское название | RHD76102 Моноклональное антитело к PSMB8 (R3H50) <AntibodySystem,Китай> |
| Каталожный номер | RHD76102 |
| Название антигена | Large Multifunctional Peptidase 7 (LMP7) |
| UNIPROT | P28062 |
| Английские синонимы | PSMB8, RING10, PSMB5i, Beta5i, Proteasome Subunit Beta Type 8, Proteasome (Prosome,Macropain) Subunit, Beta Type 8, Multicatalytic endopeptidase complex subunit C13, Really interesting new gene 10 protein |
Реактивность подтвержденная Нужна другая реактивность? |
человек, крыса |
| Источник (хозяин) | мышь |
| Изотип | IgG1 |
| Клональность | моноклональное |
| Клон | R3H50 |
| Рекомбинантное | да |
| Готовое к использованию | нет |
| Концентрация | 1 мг/мл |
| Конъюгат | нет |
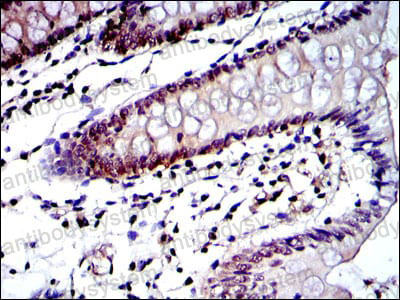
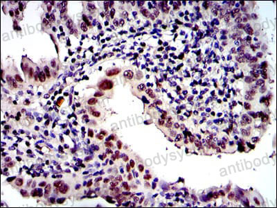
| Валидировано для | ELISA IF IHC WB Иммуноферментный анализ; Иммунофлуоресценция; Иммуногистохимия; Вестерн-блоттинг |
| Рекомендуемые разведения | ELISA: 1:10000, IF: 1:200-1:1000, IHC: 1:200-1:1000, WB: 1:500-1:2000 |
| Метод очистки | Очистка с белками A/G из супернатанта клеточной культуры |
| Чистота | >95% |
| Состав буфера | 0.01M PBS, pH 7.4, 0.05% натрия азид |
| Условия хранения | Хранить при 4°C не более 1-2 недель. Хранить при -20°C - 12 месяцев |
| Срок хранения | 12 месяцев |
| Производитель | AntibodySystem |
| Ссылка на страницу товара на сайте производителя | https://www.antibodysystem.com/product/35425.html |
|
Артикул
|
Наименование |
Производитель
|
|---|
|
Артикул
|
Наименование |
Производитель
|
|---|
|
Артикул
|
Наименование |
Производитель
|
|---|
|
Артикул
|
Наименование |
Производитель
|
|---|
|
Артикул
|
Наименование |
Производитель
|
|---|
Акции и предложения
Популярные продукты:
Mouse Elastase 3B ELISA kit (E03E0066)
Организм: мышь
Диапазон определения: 5-100 нг/мл
Чувствительность: 1 нг/мл
Диапазон определения: 5-100 нг/мл
Чувствительность: 1 нг/мл
Guinea Pig Alpha Defensin 4 ELISA kit (E05A1839)
Организм: морская свинка
Anti-Human TNFSF15/TL1A Antibody (3B3) (RHB54002)
Источник (хозяин): человек
Реактивность подтвержденная: человек
Валидировано для: ELISA, FCM
Реактивность подтвержденная: человек
Валидировано для: ELISA, FCM
Anti-Human SIRT5 IP Antibody (SAA0227) (RHK20701)
Источник (хозяин): мышь
Реактивность подтвержденная: человек
Валидировано для: ELISA, IF, IP
Реактивность подтвержденная: человек
Валидировано для: ELISA, IF, IP
Anti-Human PBRM1 IP Antibody (SAA0215) (RHJ15601)
Источник (хозяин): мышь
Реактивность подтвержденная: человек
Валидировано для: ELISA, IF, IP
Реактивность подтвержденная: человек
Валидировано для: ELISA, IF, IP
Anti-Human LRRC15/LIB Antibody (SAA1761) (RHJ28801)
Источник (хозяин): мышь
Реактивность подтвержденная: человек
Валидировано для: ELISA
Реактивность подтвержденная: человек
Валидировано для: ELISA

