| UNIPROT | Q99460 |
Anti-PSMD1 Antibody (R4C47) (RHP02301)
Реактивность подтвержденная:
человек
Источник (хозяин):
мышь
Валидировано для:
IHC
WB
Характеристики
Техническое описание
| Русское название | RHP02301 Моноклональное антитело к PSMD1 (R4C47) <AntibodySystem,Китай> |
| Каталожный номер | RHP02301 |
| Название антигена | Proteasome 26S Subunit, Non ATPase 1 (PSMD1) |
| UNIPROT | Q99460 |
| Английские синонимы | P112, S1, Rpn2, 26S proteasome regulatory subunit RPN2 |
Реактивность подтвержденная Нужна другая реактивность? |
человек |
| Источник (хозяин) | мышь |
| Изотип | IgG1 |
| Клональность | моноклональное |
| Клон | R4C47 |
| Рекомбинантное | да |
| Готовое к использованию | нет |
| Концентрация | 1 мг/мл |
| Конъюгат | нет |
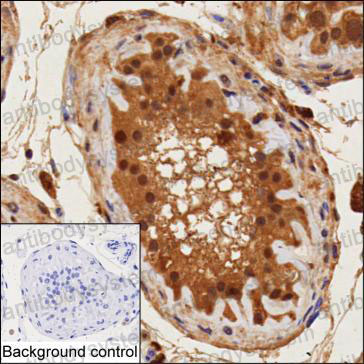
| Валидировано для | IHC WB Иммуногистохимия; Вестерн-блоттинг |
| Рекомендуемые разведения | IHC: 1:500, WB: 1:500-1:1000 |
| Метод очистки | Очистка с белками A/G из супернатанта клеточной культуры |
| Чистота | >95% |
| Состав буфера | 0.01M PBS, pH 7.4, 0.05% натрия азид |
| Условия хранения | Хранить при 4°C не более 1-2 недель. Хранить при -20°C - 12 месяцев |
| Срок хранения | 12 месяцев |
| Производитель | AntibodySystem |
| Ссылка на страницу товара на сайте производителя | https://www.antibodysystem.com/product/37302.html |
|
Артикул
|
Наименование |
Производитель
|
|---|
|
Артикул
|
Наименование |
Производитель
|
|---|
Акции и предложения
Популярные продукты:
Goat Keratin 10 ELISA kit (E06K0201)
Организм: коза
Anti-HCoV-OC43 M/Membrane protein Polyclonal Antibody (PVV40801)
Источник (хозяин): кролик
Реактивность подтвержденная: вирусы
Валидировано для: ELISA, IHC, WB
Реактивность подтвержденная: вирусы
Валидировано для: ELISA, IHC, WB
Recombinant Human EGLN3 Protein, N-His (YHK56201)
Источник (хозяин): E.coli
Организм: человек
Фрагмент: Met1-Asp239
Теги: N-His
Биоактивность: нет
Организм: человек
Фрагмент: Met1-Asp239
Теги: N-His
Биоактивность: нет
Anti-PSMD1 Antibody (R4C47) (RHP02301)
Источник (хозяин): мышь
Реактивность подтвержденная: человек
Валидировано для: IHC, WB
Реактивность подтвержденная: человек
Валидировано для: IHC, WB
Anti-Human PTK7/CCK-4 Antibody (SAA0144), APC (FHG47813)
Источник (хозяин): человек
Реактивность подтвержденная: человек
Валидировано для: ELISA, FCM
Реактивность подтвержденная: человек
Валидировано для: ELISA, FCM

