| UNIPROT | Q9UKA9 |
Anti-PTBP2 Antibody (R1A34) (RHN59301)
Реактивность подтвержденная:
человек, мышь, крыса
Источник (хозяин):
кролик
Валидировано для:
IF
IHC
WB
Характеристики
Техническое описание
| Русское название | RHN59301 Моноклональное антитело к PTBP2 (R1A34) <AntibodySystem,Китай> |
| Каталожный номер | RHN59301 |
| Название антигена | Polypyrimidine Tract Binding Protein 2 (PTBP2) |
| UNIPROT | Q9UKA9 |
| Английские синонимы | PTB, PTBLP, nPTB8, nPTB6, nPTB, nPTB5, brPTB, nPTB7, Neural polypyrimidine tract-binding protein, Neurally-enriched homolog of PTB, PTB-like protein |
Реактивность подтвержденная Нужна другая реактивность? |
человек, мышь, крыса |
| Источник (хозяин) | кролик |
| Изотип | IgG |
| Клональность | моноклональное |
| Клон | R1A34 |
| Рекомбинантное | да |
| Готовое к использованию | нет |
| Концентрация | 1 мг/мл |
| Конъюгат | нет |
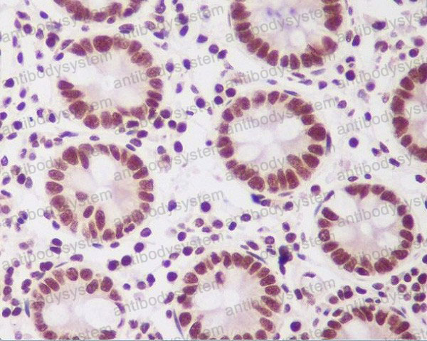
| Валидировано для | IF IHC WB Иммунофлуоресценция; Иммуногистохимия; Вестерн-блоттинг |
| Рекомендуемые разведения | IF: 1:50-1:200, IHC: 1:100-1:200, WB: 1:1000-1:2000 |
| Метод очистки | Очистка с белками A/G из супернатанта клеточной культуры |
| Чистота | >95% |
| Состав буфера | 0.01M PBS, pH 7.4, 0.05% БСА, 50% глицерин, 0.05% азид натрия |
| Условия доставки | термобокс с аккумуляторами холода |
| Условия хранения | Хранить при -20 С -12 месяцев |
| Срок хранения | 12 месяцев |
| Производитель | AntibodySystem |
| Ссылка на страницу товара на сайте производителя | https://www.antibodysystem.com/product/29640.html |
|
Артикул
|
Наименование |
Производитель
|
|---|
Акции и предложения
Популярные продукты:
Anti-Proteasome 26S Subunit, Non ATPase 7 (PSMD7) Polyclonal Antibody (FAG282Hu01)
Источник (хозяин): кролик
Реактивность подтвержденная: человек
Валидировано для: FCM
Реактивность подтвержденная: человек
Валидировано для: FCM
Sheep Anoctamin 4(ANO4) ELISA kit (E14A1530)
Организм: овца
Chicken Anoctamin 4(ANO4) ELISA kit (E12A1530)
Организм: курица
Human Anoctamin 4(ANO4) ELISA kit (E01A1530)
Организм: человек
Диапазон определения: 250-5000 пг/мл
Чувствительность: 1 пг/мл
Диапазон определения: 250-5000 пг/мл
Чувствительность: 1 пг/мл
Canine Metaxin 2(MTX2) ELISA kit (E08M0407)
Организм: собака
Mouse Histone Deacetylase 3 ELISA kit (E03H0236)
Организм: мышь

