| UNIPROT | Q06124 |
Anti-PTPN11 Antibody (R3R22) (RHG07502)
Реактивность подтвержденная:
человек
Источник (хозяин):
мышь
Валидировано для:
ELISA
FCM
IF
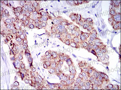
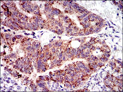
IHC
Характеристики
Техническое описание
| Русское название | RHG07502 Моноклональное антитело к PTPN11 (R3R22) <AntibodySystem,Китай> |
| Каталожный номер | RHG07502 |
| Название антигена | Protein Tyrosine Phosphatase, Non Receptor Type 11 (PTPN11) |
| UNIPROT | Q06124 |
| Английские синонимы | BPTP3, CFC, NS1, PTP-1D, PTP2C, SH-PTP2, SH-PTP3, SHP2, Noonan Syndrome 1, Protein-tyrosine phosphatase 1D, Protein-tyrosine phosphatase 2C |
Реактивность подтвержденная Нужна другая реактивность? |
человек |
| Источник (хозяин) | мышь |
| Изотип | IgG1 |
| Клональность | моноклональное |
| Клон | R3R22 |
| Рекомбинантное | да |
| Готовое к использованию | нет |
| Концентрация | 1 мг/мл |
| Конъюгат | нет |
| Валидировано для | ELISA FCM IF IHC Иммуноферментный анализ; Проточная цитометрия; Иммунофлуоресценция; Иммуногистохимия |
| Рекомендуемые разведения | ELISA: 1:10000, FCM: 1:200-1:400, IF: 1:200-1:1000, IHC: 1:200-1:1000 |
| Метод очистки | Очистка с белками A/G из супернатанта клеточной культуры |
| Чистота | >95% |
| Состав буфера | 0.01M PBS, pH 7.4, 0.05% натрия азид |
| Условия хранения | Хранить при 4°C не более 1-2 недель. Хранить при -20°C - 12 месяцев |
| Срок хранения | 12 месяцев |
| Производитель | AntibodySystem |
| Ссылка на страницу товара на сайте производителя | https://www.antibodysystem.com/product/36188.html |
|
Артикул
|
Наименование |
Производитель
|
|---|
|
Артикул
|
Наименование |
Производитель
|
|---|
|
Артикул
|
Наименование |
Производитель
|
|---|
Акции и предложения
Популярные продукты:
Goat Protein dachsous homolog 2 ELISA kit (E06D0585)
Организм: коза
Mouse Protein dachsous homolog 2 ELISA kit (E03D0585)
Организм: мышь
Mouse Acetoacetyl CoA synthetase ELISA kit (E03A0083)
Организм: мышь
Chicken Acetoacetyl CoA synthetase ELISA kit (E12A0083)
Организм: курица
Porcine amyloid β A4 protein ELISA kit (E07A1608)
Организм: свинья
Guinea Pig amyloid β A4 protein ELISA kit (E05A1608)
Организм: морская свинка

