| UNIPROT | Q15678 |
Anti-PTPN14 Antibody (R3T95) (RHH16402)
Реактивность подтвержденная:
человек
Источник (хозяин):
мышь
Валидировано для:
ELISA
FCM
IF
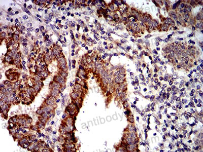
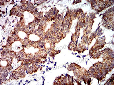
IHC
Характеристики
Техническое описание
| Русское название | RHH16402 Моноклональное антитело к PTPN14 (R3T95) <AntibodySystem,Китай> |
| Каталожный номер | RHH16402 |
| Название антигена | Protein Tyrosine Phosphatase, Non Receptor Type 14 (PTPN14) |
| UNIPROT | Q15678 |
| Английские синонимы | PEZ, PTP36, PTPD2, Protein-tyrosine phosphatase pez |
Реактивность подтвержденная Нужна другая реактивность? |
человек |
| Источник (хозяин) | мышь |
| Изотип | IgG1 |
| Клональность | моноклональное |
| Клон | R3T95 |
| Рекомбинантное | да |
| Готовое к использованию | нет |
| Концентрация | 1 мг/мл |
| Конъюгат | нет |
| Валидировано для | ELISA FCM IF IHC Иммуноферментный анализ; Проточная цитометрия; Иммунофлуоресценция; Иммуногистохимия |
| Рекомендуемые разведения | ELISA: 1:10000, FCM: 1:200-1:400, IF: 1:200-1:1000, IHC: 1:200-1:1000 |
| Метод очистки | Очистка с белками A/G из супернатанта клеточной культуры |
| Чистота | >95% |
| Состав буфера | 0.01M PBS, pH 7.4, 0.05% натрия азид |
| Условия хранения | Хранить при 4°C не более 1-2 недель. Хранить при -20°C - 12 месяцев |
| Срок хранения | 12 месяцев |
| Производитель | AntibodySystem |
| Ссылка на страницу товара на сайте производителя | https://www.antibodysystem.com/product/36459.html |
|
Артикул
|
Наименование |
Производитель
|
|---|
|
Артикул
|
Наименование |
Производитель
|
|---|
Акции и предложения
Популярные продукты:
Medroxyprogesterone/MP ELISA Kit (KSK61601)
Организм: для всех
Диапазон определения: 1.56 - 100 нг/мл
Чувствительность: 0.5 нг/мл
Диапазон определения: 1.56 - 100 нг/мл
Чувствительность: 0.5 нг/мл
Monoclonal Antibody to Ephrin A3 (EFNA3) (MAE109Hu23)
Источник (хозяин): мышь
Реактивность подтвержденная: человек
Валидировано для: WB
Реактивность подтвержденная: человек
Валидировано для: WB
Monoclonal Antibody to Ki-67 Protein (Ki-67) (MAC047Hu26)
Источник (хозяин): мышь
Реактивность подтвержденная: человек
Валидировано для: WB
Реактивность подтвержденная: человек
Валидировано для: WB
Monoclonal Antibody to Transferrin (TF) (MAC036Po23)
Источник (хозяин): мышь
Реактивность подтвержденная: свинья
Валидировано для: IHC, WB
Реактивность подтвержденная: свинья
Валидировано для: IHC, WB
CLIA Kit for Cathepsin K (CTSK) (SCA267Mu)
Организм: мышь
Диапазон определения: 5.49-4,000 пг/мл
Чувствительность: 0.53 мкг/мл
Диапазон определения: 5.49-4,000 пг/мл
Чувствительность: 0.53 мкг/мл

