| UNIPROT | P57735 |
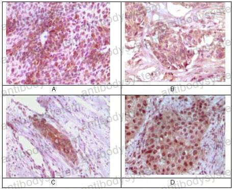
Anti-RAB25 Antibody (R3N69) (RHF23402)
Реактивность подтвержденная:
человек
Источник (хозяин):
мышь
Валидировано для:
IHC
Характеристики
Техническое описание
| Русское название | RHF23402 Моноклональное антитело к RAB25 (R3N69) <AntibodySystem,Китай> |
| Каталожный номер | RHF23402 |
| Название антигена | RAB25, Member RAS Oncogene Family (RAB25) |
| UNIPROT | P57735 |
| Английские синонимы | CATX-8 |
Реактивность подтвержденная Нужна другая реактивность? |
человек |
| Источник (хозяин) | мышь |
| Изотип | IgG2a |
| Клональность | моноклональное |
| Клон | R3N69 |
| Рекомбинантное | да |
| Готовое к использованию | нет |
| Концентрация | 1 мг/мл |
| Конъюгат | нет |
| Валидировано для | IHC Иммуногистохимия |
| Рекомендуемые разведения | IHC: 1:200-1:1000 |
| Метод очистки | Очистка с белками A/G из супернатанта клеточной культуры |
| Чистота | >95% |
| Состав буфера | 0.01M PBS, pH 7.4, 0.05% натрия азид |
| Условия хранения | Хранить при 4°C не более 1-2 недель. Хранить при -20°C - 12 месяцев |
| Срок хранения | 12 месяцев |
| Производитель | AntibodySystem |
| Ссылка на страницу товара на сайте производителя | https://www.antibodysystem.com/product/35939.html |
|
Артикул
|
Наименование |
Производитель
|
|---|
|
Артикул
|
Наименование |
Производитель
|
|---|
Акции и предложения
Популярные продукты:
Recombinant Mouse Tyrosine-protein kinase receptor UFO/AXL oncogene/UFO (C-6His) (PKSM041410)
Источник (хозяин): HEK293
Организм: мышь
Фрагмент: Ala19-Pro443
Теги: C-His
Биоактивность: нет
Организм: мышь
Фрагмент: Ala19-Pro443
Теги: C-His
Биоактивность: нет
Recombinant Mouse CD163 Protein, N-His (YMJ16301)
Источник (хозяин): E.coli
Организм: мышь
Фрагмент: Met46-Ala261
Теги: N-His
Биоактивность: нет
Организм: мышь
Фрагмент: Met46-Ala261
Теги: N-His
Биоактивность: нет
Anti-RAB25 Antibody (R3N69) (RHF23402)
Источник (хозяин): мышь
Реактивность подтвержденная: человек
Валидировано для: IHC
Реактивность подтвержденная: человек
Валидировано для: IHC
Anti-Phospho-Tau (S198) Antibody (R1M84) (RHC82431)
Источник (хозяин): кролик
Реактивность подтвержденная: человек, мышь, крыса
Валидировано для: IHC, IP, WB
Реактивность подтвержденная: человек, мышь, крыса
Валидировано для: IHC, IP, WB
Anti-CD166/ALCAM Antibody (R2E99) (RHG64001)
Источник (хозяин): кролик
Реактивность подтвержденная: человек, мышь, крыса
Валидировано для: IF, IHC, IP, WB
Реактивность подтвержденная: человек, мышь, крыса
Валидировано для: IF, IHC, IP, WB
ZCCHC17 Polyclonal Antibody (E-AB-90990)
Источник (хозяин): кролик
Реактивность подтвержденная: мышь
Валидировано для: WB
Реактивность подтвержденная: мышь
Валидировано для: WB

