| UNIPROT | P51159 |
Anti-RAB27A Antibody (R3M45) (RHE80601)
Реактивность подтвержденная:
человек
Источник (хозяин):
мышь
Валидировано для:
ELISA
IHC
Характеристики
Техническое описание
| Русское название | RHE80601 Моноклональное антитело к RAB27A (R3M45) <AntibodySystem,Китай> |
| Каталожный номер | RHE80601 |
| Название антигена | RAB27A, Member RAS Oncogene Family (RAB27A) |
| UNIPROT | P51159 |
| Английские синонимы | RAB27, RAM, GS2, Ras-related protein Rab-27A, GTP-binding protein Ram |
Реактивность подтвержденная Нужна другая реактивность? |
человек |
| Источник (хозяин) | мышь |
| Изотип | IgG2b |
| Клональность | моноклональное |
| Клон | R3M45 |
| Рекомбинантное | да |
| Готовое к использованию | нет |
| Концентрация | 1 мг/мл |
| Конъюгат | нет |
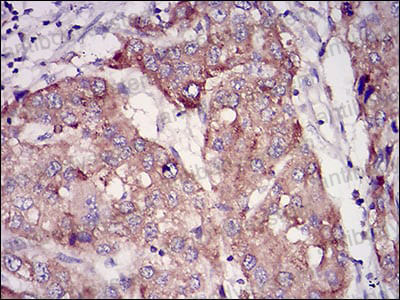
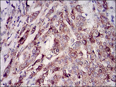
| Валидировано для | ELISA IHC Иммуноферментный анализ; Иммуногистохимия |
| Рекомендуемые разведения | ELISA: 1:10000, IHC: 1:200-1:1000 |
| Метод очистки | Очистка с белками A/G из супернатанта клеточной культуры |
| Чистота | >95% |
| Состав буфера | 0.01M PBS, pH 7.4, 0.05% натрия азид |
| Условия хранения | Хранить при 4°C не более 1-2 недель. Хранить при -20°C - 12 месяцев |
| Срок хранения | 12 месяцев |
| Производитель | AntibodySystem |
| Ссылка на страницу товара на сайте производителя | https://www.antibodysystem.com/product/35816.html |
|
Артикул
|
Наименование |
Производитель
|
|---|
Акции и предложения
Популярные продукты:
Anti-MRPL42 Antibody (R4C27) (RHP00501)
Источник (хозяин): мышь
Реактивность подтвержденная: человек
Валидировано для: ELISA, FCM, IHC, WB
Реактивность подтвержденная: человек
Валидировано для: ELISA, FCM, IHC, WB
Anti-MAP4K1 Antibody (R4C16) (RHN99501)
Источник (хозяин): мышь
Реактивность подтвержденная: человек, мышь, крыса, обезьяна
Валидировано для: ELISA, FCM, IHC, WB
Реактивность подтвержденная: человек, мышь, крыса, обезьяна
Валидировано для: ELISA, FCM, IHC, WB
Anti-RAB27A Antibody (R3M45) (RHE80601)
Источник (хозяин): мышь
Реактивность подтвержденная: человек
Валидировано для: ELISA, IHC
Реактивность подтвержденная: человек
Валидировано для: ELISA, IHC
Anti-SEC24D Antibody (R1G05) (RHB46101)
Источник (хозяин): кролик
Реактивность подтвержденная: человек, мышь, крыса
Валидировано для: WB
Реактивность подтвержденная: человек, мышь, крыса
Валидировано для: WB
Anti-SEC24D Antibody (R1G04) (RHB46102)
Источник (хозяин): кролик
Реактивность подтвержденная: человек, мышь, крыса
Валидировано для: WB
Реактивность подтвержденная: человек, мышь, крыса
Валидировано для: WB

