| UNIPROT | Q9EQZ6 |
Anti-RAPGEF4 Antibody (R4A27) (RMN69201)
Реактивность подтвержденная:
мышь
Источник (хозяин):
мышь
Валидировано для:
IHC
Характеристики
Техническое описание
| Русское название | RMN69201 Моноклональное антитело к RAPGEF4 (R4A27) <AntibodySystem,Китай> |
| Каталожный номер | RMN69201 |
| Название антигена | Rap Guanine Nucleotide Exchange Factor 4 (RAPGEF4) |
| UNIPROT | Q9EQZ6 |
| Английские синонимы | CAMP-GEFII, CGEF2, EPAC2, Exchange Protein Directly Activated By cAMP 2, cAMP-Regulated Guanine Nucleotide Exchange Factor II |
Реактивность подтвержденная Нужна другая реактивность? |
мышь |
| Источник (хозяин) | мышь |
| Изотип | IgG2a |
| Клональность | моноклональное |
| Клон | R4A27 |
| Рекомбинантное | да |
| Готовое к использованию | нет |
| Концентрация | 1 мг/мл |
| Конъюгат | нет |
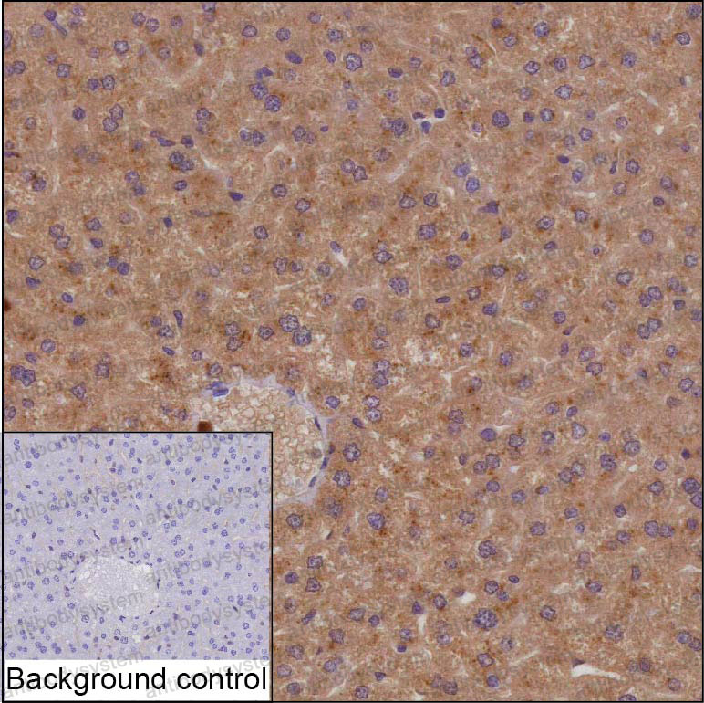
| Валидировано для | IHC Иммуногистохимия |
| Рекомендуемые разведения | IHC: 1:25-1:200 |
| Метод очистки | Очистка с белками A/G из супернатанта клеточной культуры |
| Чистота | >95% |
| Состав буфера | 0.01M PBS, pH 7.4, 0.05% натрия азид |
| Условия хранения | Хранить при 4°C не более 1-2 недель. Хранить при -20°C - 12 месяцев |
| Срок хранения | 12 месяцев |
| Производитель | AntibodySystem |
| Ссылка на страницу товара на сайте производителя | https://www.antibodysystem.com/product/37084.html |
|
Артикул
|
Наименование |
Производитель
|
|---|
Акции и предложения
Популярные продукты:
Chicken Anoctamin 4(ANO4) ELISA kit (E12A1530)
Организм: курица
Human Anoctamin 4(ANO4) ELISA kit (E01A1530)
Организм: человек
Диапазон определения: 250-5000 пг/мл
Чувствительность: 1 пг/мл
Диапазон определения: 250-5000 пг/мл
Чувствительность: 1 пг/мл
Canine Metaxin 2(MTX2) ELISA kit (E08M0407)
Организм: собака
Goat Calumenin ELISA kit (E06C0539)
Организм: коза
Rabbit Nucleoporin 160kDa ELISA kit (E04N0052)
Организм: кролик

