| UNIPROT | Q01201 |
Anti-RELB Antibody (R3Q36) (RHF86206)
Реактивность подтвержденная:
человек
Источник (хозяин):
мышь
Валидировано для:
ELISA
FCM
IF
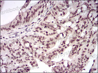
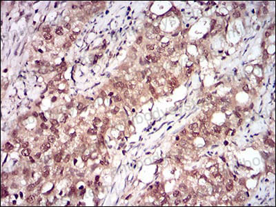
IHC
Характеристики
Техническое описание
| Русское название | RHF86206 Моноклональное антитело к RELB (R3Q36) <AntibodySystem,Китай> |
| Каталожный номер | RHF86206 |
| Название антигена | V-Rel Reticuloendotheliosis Viral Oncogene Homolog B (RELB) |
| UNIPROT | Q01201 |
| Английские синонимы | REL-B, I-REL, Transcription Factor RelB, Nuclear Factor Of Kappa Light Polypeptide Gene Enhancer In B-Cells 3 |
Реактивность подтвержденная Нужна другая реактивность? |
человек |
| Источник (хозяин) | мышь |
| Изотип | IgG2a |
| Клональность | моноклональное |
| Клон | R3Q36 |
| Рекомбинантное | да |
| Готовое к использованию | нет |
| Концентрация | 1 мг/мл |
| Конъюгат | нет |
| Валидировано для | ELISA FCM IF IHC Иммуноферментный анализ; Проточная цитометрия; Иммунофлуоресценция; Иммуногистохимия |
| Рекомендуемые разведения | ELISA: 1:10000, FCM: 1:200-1:400, IF: 1:200-1:1000, IHC: 1:200-1:1000 |
| Метод очистки | Очистка с белками A/G из супернатанта клеточной культуры |
| Чистота | >95% |
| Состав буфера | 0.01M PBS, pH 7.4, 0.05% натрия азид |
| Условия хранения | Хранить при 4°C не более 1-2 недель. Хранить при -20°C - 12 месяцев |
| Срок хранения | 12 месяцев |
| Производитель | AntibodySystem |
| Ссылка на страницу товара на сайте производителя | https://www.antibodysystem.com/product/36104.html |
|
Артикул
|
Наименование |
Производитель
|
|---|
|
Артикул
|
Наименование |
Производитель
|
|---|
|
Артикул
|
Наименование |
Производитель
|
|---|
|
Артикул
|
Наименование |
Производитель
|
|---|
|
Артикул
|
Наименование |
Производитель
|
|---|
Акции и предложения
Популярные продукты:
Anti-Human CD3 Antibody (R4D86) (RHC27705)
Источник (хозяин): кролик
Реактивность подтвержденная: человек
Валидировано для: IHC
Реактивность подтвержденная: человек
Валидировано для: IHC
Guinea Pig Anti Teichoic acid antibody ELISA kit (E05T0496)
Организм: морская свинка
Bovine T cell leukemia homeobox protein 3(TLX3) ELISA kit (E11T0696)
Организм: корова
Human Granulin ELISA kit (E01G0258)
Организм: человек
Диапазон определения: 5-100 нг/мл
Чувствительность: 1 нг/мл
Диапазон определения: 5-100 нг/мл
Чувствительность: 1 нг/мл
Rabbit Calumenin ELISA kit (E04C0539)
Организм: кролик

