| UNIPROT | P61586 |
Anti-RHOA Antibody (R3N93) (RHF45102)
Реактивность подтвержденная:
человек
Источник (хозяин):
мышь
Валидировано для:
ELISA
FCM
IF
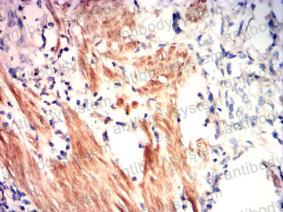
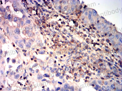
IHC
WB
Характеристики
Техническое описание
| Русское название | RHF45102 Моноклональное антитело к RHOA (R3N93) <AntibodySystem,Китай> |
| Каталожный номер | RHF45102 |
| Название антигена | Ras Homolog Gene Family, Member A (RHOA) |
| UNIPROT | P61586 |
| Английские синонимы | ARH12, ARHA, RHO12, RHOH12, Rho cDNA clone 12 |
Реактивность подтвержденная Нужна другая реактивность? |
человек |
| Источник (хозяин) | мышь |
| Изотип | IgG2b |
| Клональность | моноклональное |
| Клон | R3N93 |
| Рекомбинантное | да |
| Готовое к использованию | нет |
| Концентрация | 1 мг/мл |
| Конъюгат | нет |
| Валидировано для | ELISA FCM IF IHC WB Иммуноферментный анализ; Проточная цитометрия; Иммунофлуоресценция; Иммуногистохимия; Вестерн-блоттинг |
| Рекомендуемые разведения | ELISA: 1:10000, FCM: 1:200-1:400, IF: 1:200-1:1000, IHC: 1:200-1:1000, WB: 1:500-1:2000 |
| Метод очистки | Очистка с белками A/G из супернатанта клеточной культуры |
| Чистота | >95% |
| Состав буфера | 0.01M PBS, pH 7.4, 0.05% натрия азид |
| Условия хранения | Хранить при 4°C не более 1-2 недель. Хранить при -20°C - 12 месяцев |
| Срок хранения | 12 месяцев |
| Производитель | AntibodySystem |
| Ссылка на страницу товара на сайте производителя | https://www.antibodysystem.com/product/35963.html |
|
Артикул
|
Наименование |
Производитель
|
|---|
|
Артикул
|
Наименование |
Производитель
|
|---|
|
Артикул
|
Наименование |
Производитель
|
|---|
|
Артикул
|
Наименование |
Производитель
|
|---|
Акции и предложения
Популярные продукты:
Anti-FMC63 scFv Monoclonal Antibody (SAA1996), PerCP (RAD10841)
Источник (хозяин): кролик
Реактивность подтвержденная: для всех
Валидировано для: ELISA, FCM
Реактивность подтвержденная: для всех
Валидировано для: ELISA, FCM
Mouse Component of gems 4(GEMIN4) ELISA kit (E03C2296)
Организм: мышь
Chicken Calsyntenin 1(CLSTN1) ELISA kit (E12C1816)
Организм: курица
Rat Calsyntenin 1(CLSTN1) ELISA kit (E02C1816)
Организм: крыса

