| UNIPROT | Q9Y572 |
Anti-RIPK3 Antibody (R3X70) (RHJ88705)
Реактивность подтвержденная:
человек
Источник (хозяин):
мышь
Валидировано для:
IHC
Характеристики
Техническое описание
| Русское название | RHJ88705 Моноклональное антитело к RIPK3 (R3X70) <AntibodySystem,Китай> |
| Каталожный номер | RHJ88705 |
| Название антигена | Receptor Interacting Serine Threonine Kinase 3 (RIPK3) |
| UNIPROT | Q9Y572 |
| Английские синонимы | RIP3, RIP-like protein kinase 3, Receptor-interacting protein 3 |
Реактивность подтвержденная Нужна другая реактивность? |
человек |
| Источник (хозяин) | мышь |
| Изотип | IgG2a |
| Клональность | моноклональное |
| Клон | R3X70 |
| Рекомбинантное | да |
| Готовое к использованию | нет |
| Концентрация | 1 мг/мл |
| Конъюгат | нет |
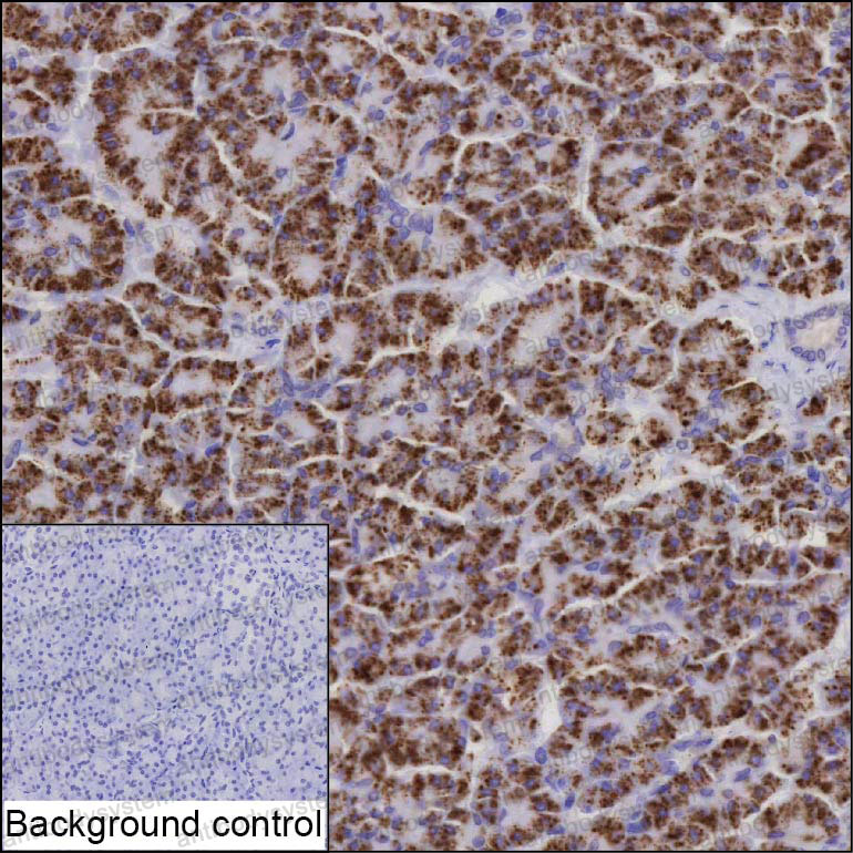
| Валидировано для | IHC Иммуногистохимия |
| Рекомендуемые разведения | IHC: 1:25-1:200 |
| Метод очистки | Очистка с белками A/G из супернатанта клеточной культуры |
| Чистота | >95% |
| Состав буфера | 0.01M PBS, pH 7.4, 0.05% натрия азид |
| Условия хранения | Хранить при 4°C не более 1-2 недель. Хранить при -20°C - 12 месяцев |
| Срок хранения | 12 месяцев |
| Производитель | AntibodySystem |
| Ссылка на страницу товара на сайте производителя | https://www.antibodysystem.com/product/36830.html |
|
Артикул
|
Наименование |
Производитель
|
|---|
|
Артикул
|
Наименование |
Производитель
|
|---|
|
Артикул
|
Наименование |
Производитель
|
|---|
|
Артикул
|
Наименование |
Производитель
|
|---|
|
Артикул
|
Наименование |
Производитель
|
|---|
Акции и предложения
Популярные продукты:
Monoclonal Antibody to Cathepsin B (CTSB) (MAC964Hu27)
Источник (хозяин): мышь
Реактивность подтвержденная: человек
Валидировано для: WB
Реактивность подтвержденная: человек
Валидировано для: WB
Canine Anamorsin(CIAPIN1) ELISA kit (E08A1813)
Организм: собака
Chicken Androgen Receptor ELISA kit (E12A0636)
Организм: курица
Bovine Lysophosphatidic acid ELISA Kit (E11L1190)
Организм: корова

