| UNIPROT | Q9ULK6 |
Anti-RNF150 Antibody (R4D41) (RHP09801)
Реактивность подтвержденная:
человек
Источник (хозяин):
мышь
Валидировано для:
IHC
Характеристики
Техническое описание
| Русское название | RHP09801 Моноклональное антитело к RNF150 (R4D41) <AntibodySystem,Китай> |
| Каталожный номер | RHP09801 |
| Название антигена | Ring Finger Protein 150 (RNF150) |
| UNIPROT | Q9ULK6 |
Реактивность подтвержденная Нужна другая реактивность? |
человек |
| Источник (хозяин) | мышь |
| Изотип | IgG1 |
| Клональность | моноклональное |
| Клон | R4D41 |
| Рекомбинантное | да |
| Готовое к использованию | нет |
| Концентрация | 1 мг/мл |
| Конъюгат | нет |
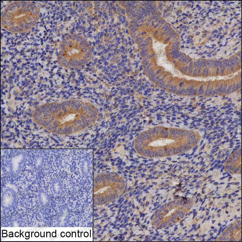
| Валидировано для | IHC Иммуногистохимия |
| Рекомендуемые разведения | IHC: 1:50 |
| Метод очистки | Очистка с белками A/G из супернатанта клеточной культуры |
| Чистота | >95% |
| Состав буфера | 0.01M PBS, pH 7.4, 0.05% натрия азид |
| Условия хранения | Хранить при 4°C не более 1-2 недель. Хранить при -20°C - 12 месяцев |
| Срок хранения | 12 месяцев |
| Производитель | AntibodySystem |
| Ссылка на страницу товара на сайте производителя | https://www.antibodysystem.com/product/37395.html |
|
Артикул
|
Наименование |
Производитель
|
|---|
Акции и предложения
Популярные продукты:
Chicken Biotin protein ligase(HLCS) ELISA kit (E12B0920)
Организм: курица
Anti-Clostridioides difficile Toxin B/tcdB Antibody (PA41) (RXX00303)
Источник (хозяин): мышь
Реактивность подтвержденная: бактерии
Валидировано для: SPR
Реактивность подтвержденная: бактерии
Валидировано для: SPR
ADORA3 Polyclonal Antibody (E-AB-18210)
Источник (хозяин): кролик
Реактивность подтвержденная: человек, мышь
Валидировано для: IHC, WB
Реактивность подтвержденная: человек, мышь
Валидировано для: IHC, WB
GPR113 Antibody (DF4941)
Источник (хозяин): кролик
Реактивность подтвержденная: человек
Валидировано для: WB, IF, ICC
Реактивность подтвержденная: человек
Валидировано для: WB, IF, ICC
Sheep Archaemetzincin 1(AMZ1) ELISA kit (E14A1435)
Организм: овца
Porcine Biotin protein ligase(HLCS) ELISA kit (E07B0920)
Организм: свинья

