Ваш браузер устарел и не обеспечивает полноценную и безопасную работу с сайтом. Пожалуйста обновите браузер чтобы улучшить взаимодействие с сайтом.
Мы обновили сайт, попробуйте новые функции в личном кабинете!

+7 (495) 798-02-48

Anti-RPAIN Antibody (R4C98) (RHP06001)

Реактивность подтвержденная: человек
Источник (хозяин): мышь
Валидировано для:
IHC
Валидация AntibodySystem RHP06001
Валидация AntibodySystem RHP06001
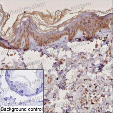
IHC-P analysis of skin tissue by RPAIN antibody (RHP06001). IHC-P was performed using sections of the formalin-fixed paraffin-embedded skin tissue;Result: Epithelial cells and a part of cells in corium layer are positively stained at the nuclei and cytoplasm.
Валидация AntibodySystem RHP06001 (4108)
Валидация AntibodySystem RHP06001 (4108)
IHC-P analysis of skin tissue by RPAIN antibody (RHP06001). IHC-P was performed using sections of the formalin-fixed paraffin-embedded skin tissue;Result: Epithelial cells and a part of cells in corium layer are positively stained at the nuclei and cytoplasm.
Валидация AntibodySystem RHP06001
Валидация AntibodySystem RHP06001 (4108)
Ближайшая поставка
29.05.26
Характеристики
Техническое описание
Русское название RHP06001 Моноклональное антитело к RPAIN (R4C98) <AntibodySystem,Китай>
Каталожный номер RHP06001
Название антигена RPA Interacting Protein (RPAIN)
UNIPROT Q86UA6
Английские синонимы RIP, hRIP
Реактивность подтвержденная
Нужна другая реактивность?
человек
Источник (хозяин) мышь
Изотип IgG2a
Клональность моноклональное
Клон R4C98
Рекомбинантное да
Готовое к использованию нет
Концентрация 1 мг/мл
Конъюгат нет
Валидировано для
IHC
Иммуногистохимия
Рекомендуемые разведения IHC: 1:100-1:200
Метод очистки Очистка с белками A/G из супернатанта клеточной культуры
Чистота >95%
Состав буфера 0.01M PBS, pH 7.4, 0.05% натрия азид
Условия хранения Хранить при 4°C не более 1-2 недель. Хранить при -20°C - 12 месяцев
Срок хранения 12 месяцев
Производитель AntibodySystem
Ссылка на страницу товара на сайте производителя https://www.antibodysystem.com/product/37353.html

Назначение

моноклональное антитело от производителя AntibodySystem к RPA Interacting Protein (RPAIN) источник — мышь предназначено для детекции целевого антигена в биологических образцах. Продукт характеризуется подтвержденной реактивностью к человек.

Преимущества

  • Высокая специфичность и аффинность
  • Концентрация: 1 мг/мл
  • Оптимизированный состав буфера: 0.01M PBS, pH 7.4, 0.05% натрия азид
  • Стабильность: 12 месяцев

Применение в исследованиях

Антитело валидировано для методов: IHC. Подходит для научных исследований в области иммунологии, клеточной биологии и молекулярной диагностики.

Условия хранения

Срок годности: 12 месяцев. Хранить при 4°C не более 1-2 недель. Хранить при -20°C - 12 месяцев. Рекомендуется соблюдать температурный режим при транспортировке и хранении.
UNIPROT Q86UA6
Артикул
Наименование
Производитель

С нами успешно сотрудничают:

Московский государственный университет им. Ломоносова
Московский государственный университет им. Ломоносова
Московский государственный университет им. Ломоносова
МФТИ
МФТИ
МФТИ
Центр вирусологии и биотехнологии „Вектор“
Центр вирусологии и биотехнологии „Вектор“
Центр вирусологии и биотехнологии „Вектор“
Институт физиологии имени Павлова
Институт физиологии имени Павлова
Институт физиологии имени Павлова
Сеченовский университет
Сеченовский университет
Сеченовский университет
Исследовательский центр им. Алмазова
Исследовательский центр им. Алмазова
Исследовательский центр им. Алмазова
BIOCAD
BIOCAD
BIOCAD
Университет Сириус
Университет Сириус
Университет Сириус
Р-Фарм
Р-Фарм
Р-Фарм
Сколтех
Сколтех
Сколтех
Курчатовский институт
Курчатовский институт
Курчатовский институт
ИБХ РАН
ИБХ РАН
ИБХ РАН
НИЦ эпидемиологии и микробиологии им. Н.Ф.Гамалеи
НИЦ эпидемиологии и микробиологии им. Н.Ф.Гамалеи
НИЦ эпидемиологии и микробиологии им. Н.Ф.Гамалеи
Томский НИМЦ
Томский НИМЦ
Томский НИМЦ
ФИЦ ВИЖ имени Л.К. Эрнста
ФИЦ ВИЖ имени Л.К. Эрнста
ФИЦ ВИЖ имени Л.К. Эрнста
Фонд "Наука - Детям"
Фонд "Наука - Детям"
Фонд "Наука - Детям"
Институт цитологии и генетики СО РАН
Институт цитологии и генетики СО РАН
Институт цитологии и генетики СО РАН
Генериум
Генериум
Генериум

Новости

0
0
0