| UNIPROT | P60866 |
Anti-RPS20 Antibody (R1Z81) (RHF38002)
Реактивность подтвержденная:
человек, мышь, крыса
Источник (хозяин):
кролик
Валидировано для:
IF
IHC
WB
Характеристики
Техническое описание
| Русское название | RHF38002 Моноклональное антитело к RPS20 (R1Z81) <AntibodySystem,Китай> |
| Каталожный номер | RHF38002 |
| Название антигена | Ribosomal Protein S20 (RPS20) |
| UNIPROT | P60866 |
| Английские синонимы | 40S ribosomal protein S20 |
Реактивность подтвержденная Нужна другая реактивность? |
человек, мышь, крыса |
| Источник (хозяин) | кролик |
| Изотип | IgG |
| Клональность | моноклональное |
| Клон | R1Z81 |
| Рекомбинантное | да |
| Готовое к использованию | нет |
| Концентрация | 1 мг/мл |
| Конъюгат | нет |
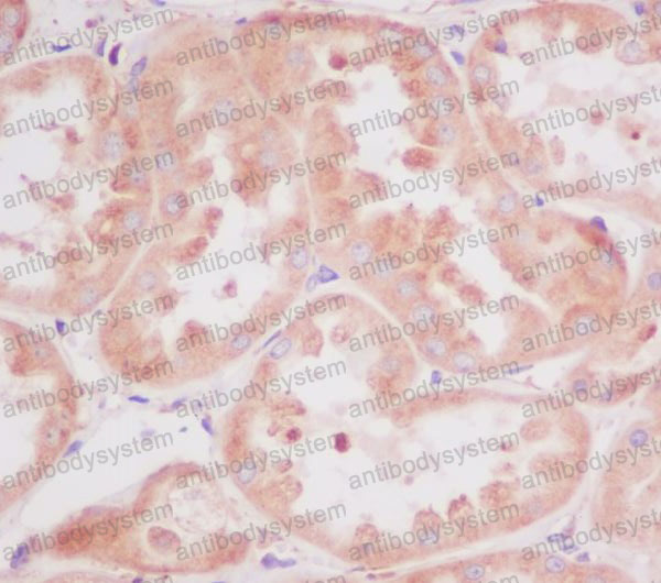
| Валидировано для | IF IHC WB Иммунофлуоресценция; Иммуногистохимия; Вестерн-блоттинг |
| Рекомендуемые разведения | IF: 1:50-1:200, IHC: 1:100-1:200, WB: 1:1000-1:2000 |
| Метод очистки | Очистка с белками A/G из супернатанта клеточной культуры |
| Чистота | >95% |
| Состав буфера | 0.01M PBS, pH 7.4, 0.05% БСА, 50% глицерин, 0.05% азид натрия |
| Условия доставки | термобокс с аккумуляторами холода |
| Условия хранения | Хранить при -20 С -12 месяцев |
| Срок хранения | 12 месяцев |
| Производитель | AntibodySystem |
| Ссылка на страницу товара на сайте производителя | https://www.antibodysystem.com/product/32011.html |
|
Артикул
|
Наименование |
Производитель
|
|---|
|
Артикул
|
Наименование |
Производитель
|
|---|
Акции и предложения
Популярные продукты:
InVivoMAb Anti-Mouse B220 Antibody (RA3.3A1/6.1) (VMC34001)
Источник (хозяин): крыса
Реактивность подтвержденная: мышь
Валидировано для: ELISA, FuncS
Реактивность подтвержденная: мышь
Валидировано для: ELISA, FuncS
ELISA Kit DIY Materials for Fatty Acid Binding Protein 6, Ileal (FABP6) (KSA344Hu01)
Организм: человек
Диапазон определения: 0.625-40 нг/мл
Чувствительность: 0.239 нг/мл
Диапазон определения: 0.625-40 нг/мл
Чувствительность: 0.239 нг/мл
Bovine casein Alpha s1 (CSN1S1) ELISA kit (E11C2100)
Организм: корова
Chicken Carnitine palmitoyltransferase I ELISA kit (E12C0055)
Организм: курица
Canine Soluble Farnesoid X receptor ELISA kit (E08F0265)
Организм: собака
Goat Hemojuvelin ELISA kit (E06H0066)
Организм: коза

