| UNIPROT | Q15418 |
Anti-RPS6KA1 Antibody (R2G37) (RHH09501)
Реактивность подтвержденная:
человек
Источник (хозяин):
кролик
Валидировано для:
IHC
IP
WB
Характеристики
Техническое описание
| Русское название | RHH09501 Моноклональное антитело к RPS6KA1 (R2G37) <AntibodySystem,Китай> |
| Каталожный номер | RHH09501 |
| Название антигена | Ribosomal Protein S6 Kinase Alpha 1 (RPS6Ka1) |
| UNIPROT | Q15418 |
| Английские синонимы | HU-1, MAPKAPK1A, RSK, RSK1, S6K-alpha 1, 90 kDa ribosomal protein S6 kinase 1, MAP kinase-activated protein kinase 1a, Ribosomal S6 kinase 1 |
Реактивность подтвержденная Нужна другая реактивность? |
человек |
| Источник (хозяин) | кролик |
| Изотип | IgG |
| Клональность | моноклональное |
| Клон | R2G37 |
| Рекомбинантное | да |
| Готовое к использованию | нет |
| Концентрация | 1 мг/мл |
| Конъюгат | нет |
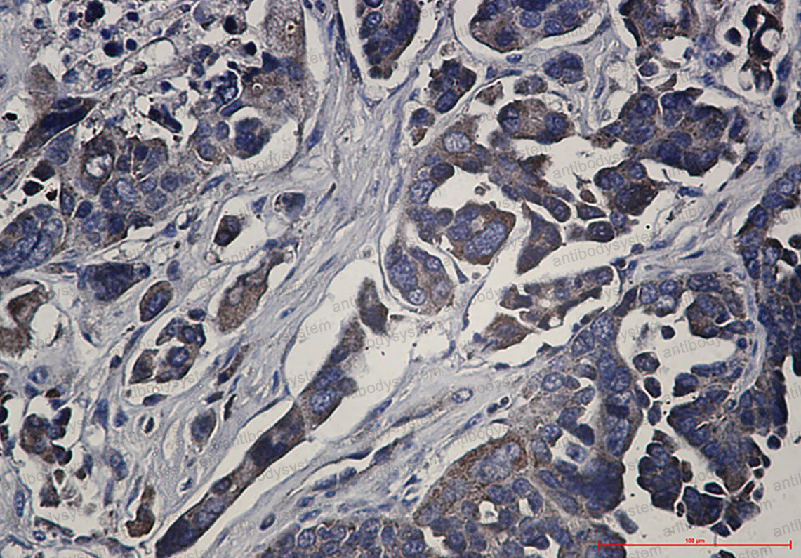
| Валидировано для | IHC IP WB Иммуногистохимия; Иммунопреципитация; Вестерн-блоттинг |
| Рекомендуемые разведения | IHC: 1:50-1:100, IP: 1:20, WB: 1:500-1:1000 |
| Метод очистки | Очистка с белками A/G из супернатанта клеточной культуры |
| Чистота | >95% |
| Состав буфера | 0.01M PBS, pH 7.4, 0.05% БСА, 50% глицерин, 0.05% азид натрия |
| Условия доставки | термобокс с аккумуляторами холода |
| Условия хранения | Хранить при -20 С -12 месяцев |
| Срок хранения | 12 месяцев |
| Производитель | AntibodySystem |
| Ссылка на страницу товара на сайте производителя | https://www.antibodysystem.com/product/32660.html |
|
Артикул
|
Наименование |
Производитель
|
|---|
|
Артикул
|
Наименование |
Производитель
|
|---|
|
Артикул
|
Наименование |
Производитель
|
|---|
|
Артикул
|
Наименование |
Производитель
|
|---|
Акции и предложения
Популярные продукты:
ELISA Kit DIY Materials for 3-Mercaptopyruvate Sulfurtransferase (MST) (KSC625Hu01)
Организм: человек
Диапазон определения: 0.156-10 нг/мл
Чувствительность: 0.057 нг/мл
Диапазон определения: 0.156-10 нг/мл
Чувствительность: 0.057 нг/мл
Human Fibroblast growth factor 18 ELISA kit (E01F0019)
Организм: человек
Диапазон определения: 50-1000 пг/мл
Чувствительность: 1 пг/мл
Диапазон определения: 50-1000 пг/мл
Чувствительность: 1 пг/мл
Human Adenylyl cyclase associated protein 2(CAP2) ELISA kit (E01A1806)
Организм: человек
Диапазон определения: 1-25 нг/мл
Чувствительность: 0.1 нг/мл
Диапазон определения: 1-25 нг/мл
Чувствительность: 0.1 нг/мл
Monkey Glutamate receptor interacting protein 1(GRIP1) ELISA kit (E09G0400)
Организм: обезьяна
Porcine Caspase 11 ELISA kit (E07C0547)
Организм: свинья
Anti-DERP2 Antibody (SAA0632) (RXX51811)
Источник (хозяин): человек
Реактивность подтвержденная: паукообразные
Валидировано для: ELISA, SPR
Реактивность подтвержденная: паукообразные
Валидировано для: ELISA, SPR

