| UNIPROT | Q15349 |
Anti-RPS6KA2 Antibody (R3T65) (RHH07104)
Реактивность подтвержденная:
человек, мышь
Источник (хозяин):
мышь
Валидировано для:
ELISA
FCM
IF
IHC
WB
Характеристики
Техническое описание
| Русское название | RHH07104 Моноклональное антитело к RPS6KA2 (R3T65) <AntibodySystem,Китай> |
| Каталожный номер | RHH07104 |
| Название антигена | Ribosomal Protein S6 Kinase Alpha 2 (RPS6Ka2) |
| UNIPROT | Q15349 |
| Английские синонимы | HU-2, RSK, RSK3, S6K-alpha, S6K-alpha2, p90-RSK3, pp90RSK3, 90 kDa ribosomal protein S6 kinase 2, MAP kinase-activated protein kinase 1c |
Реактивность подтвержденная Нужна другая реактивность? |
человек, мышь |
| Источник (хозяин) | мышь |
| Изотип | IgG1 |
| Клональность | моноклональное |
| Клон | R3T65 |
| Рекомбинантное | да |
| Готовое к использованию | нет |
| Концентрация | 1 мг/мл |
| Конъюгат | нет |
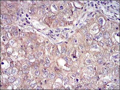
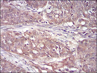
| Валидировано для | ELISA FCM IF IHC WB Иммуноферментный анализ; Проточная цитометрия; Иммунофлуоресценция; Иммуногистохимия; Вестерн-блоттинг |
| Рекомендуемые разведения | ELISA: 1:10000, FCM: 1:200-1:400, IF: 1:200-1:1000, IHC: 1:200-1:1000, WB: 1:500-1:2000 |
| Метод очистки | Очистка с белками A/G из супернатанта клеточной культуры |
| Чистота | >95% |
| Состав буфера | 0.01M PBS, pH 7.4, 0.05% натрия азид |
| Условия хранения | Хранить при 4°C не более 1-2 недель. Хранить при -20°C - 12 месяцев |
| Срок хранения | 12 месяцев |
| Производитель | AntibodySystem |
| Ссылка на страницу товара на сайте производителя | https://www.antibodysystem.com/product/36429.html |
|
Артикул
|
Наименование |
Производитель
|
|---|
|
Артикул
|
Наименование |
Производитель
|
|---|
|
Артикул
|
Наименование |
Производитель
|
|---|
|
Артикул
|
Наименование |
Производитель
|
|---|
Акции и предложения
Популярные продукты:
Anti-Human Growth hormone/GH Antibody (Fs0383) (RHB93005)
Источник (хозяин): человек
Реактивность подтвержденная: человек
Валидировано для: ELISA, WB
Реактивность подтвержденная: человек
Валидировано для: ELISA, WB
Guinea Pig Cadherin 20(CDH20) ELISA kit (E05C1541)
Организм: морская свинка
Rabbit Interleukin-36 alpha ELISA kit (E04I0767)
Организм: кролик
Anti-Human PCP4 Polyclonal Antibody (PHE58501)
Источник (хозяин): кролик
Реактивность подтвержденная: человек
Валидировано для: ELISA, IHC, WB
Реактивность подтвержденная: человек
Валидировано для: ELISA, IHC, WB
FITC Anti-Human CD11b Antibody[ICRF44] (FCE2957)
Источник (хозяин): мышь
Реактивность подтвержденная: человек
Валидировано для: FCM
Реактивность подтвержденная: человек
Валидировано для: FCM

