| UNIPROT | P0DJI8 |
Anti-SAA1 Antibody (R3B94) (RHC65501)
Реактивность подтвержденная:
человек
Источник (хозяин):
мышь
Валидировано для:
ELISA
FCM
IHC
Характеристики
Техническое описание
| Русское название | RHC65501 Моноклональное антитело к SAA1 (R3B94) <AntibodySystem,Китай> |
| Каталожный номер | RHC65501 |
| Название антигена | Serum Amyloid A (SAA) |
| UNIPROT | P0DJI8 |
| Английские синонимы | SA-A, SAA1, PIG4, TP53I4, Amyloid protein A, Amyloid fibril protein AA, Serum amyloid A-1 protein |
Реактивность подтвержденная Нужна другая реактивность? |
человек |
| Источник (хозяин) | мышь |
| Изотип | IgG1 |
| Клональность | моноклональное |
| Клон | R3B94 |
| Рекомбинантное | да |
| Готовое к использованию | нет |
| Концентрация | 1 мг/мл |
| Конъюгат | нет |
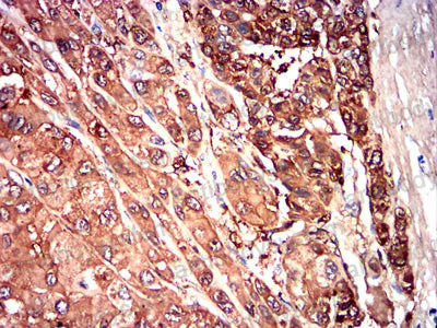
| Валидировано для | ELISA FCM IHC Иммуноферментный анализ; Проточная цитометрия; Иммуногистохимия |
| Рекомендуемые разведения | ELISA: 1:10000, FCM: 1:200-1:400, IHC: 1:200-1:1000 |
| Метод очистки | Очистка с белками A/G из супернатанта клеточной культуры |
| Чистота | >95% |
| Состав буфера | 0.01M PBS, pH 7.4, 0.05% натрия азид |
| Условия доставки | термобокс с аккумуляторами холода |
| Условия хранения | Хранить при 4°C не более 1-2 недель. Хранить при -20°C - 12 месяцев |
| Срок хранения | 12 месяцев |
| Производитель | AntibodySystem |
| Ссылка на страницу товара на сайте производителя | https://www.antibodysystem.com/product/34875.html |
|
Артикул
|
Наименование |
Производитель
|
|---|
|
Артикул
|
Наименование |
Производитель
|
|---|
|
Артикул
|
Наименование |
Производитель
|
|---|
|
Артикул
|
Наименование |
Производитель
|
|---|
|
Артикул
|
Наименование |
Производитель
|
|---|
|
Артикул
|
Наименование |
Производитель
|
|---|
|
Артикул
|
Наименование |
Производитель
|
|---|
|
Артикул
|
Наименование |
Производитель
|
|---|
Акции и предложения
Популярные продукты:
Chicken Serum amyloid A ELISA kit (E12S0228)
Организм: курица
Recombinant Human SIGIRR Protein, N-His (YHJ05701)
Источник (хозяин): E.coli
Организм: человек
Фрагмент: Met1-His118
Теги: N-His
Биоактивность: нет
Организм: человек
Фрагмент: Met1-His118
Теги: N-His
Биоактивность: нет
Recombinant Human SAA1 Protein, N-His (YHC65501)
Источник (хозяин): E.coli
Организм: человек
Фрагмент: Ser20-Tyr122
Теги: N-His
Биоактивность: нет
Организм: человек
Фрагмент: Ser20-Tyr122
Теги: N-His
Биоактивность: нет
Anti-SAA1 Antibody (R3B94) (RHC65501)
Источник (хозяин): мышь
Реактивность подтвержденная: человек
Валидировано для: ELISA, FCM, IHC
Реактивность подтвержденная: человек
Валидировано для: ELISA, FCM, IHC

