| UNIPROT | Q5VXD3 |
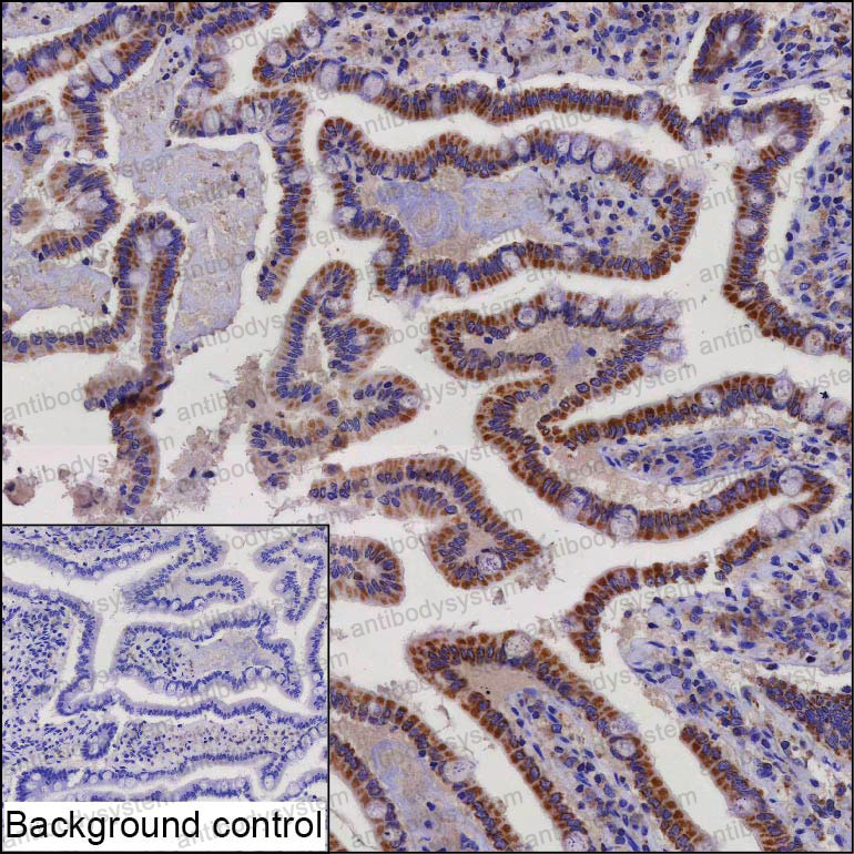
Anti-SAMD13 Antibody (R4D38) (RHP09501)
Реактивность подтвержденная:
человек
Источник (хозяин):
мышь
Валидировано для:
IHC
Характеристики
Техническое описание
| Русское название | RHP09501 Моноклональное антитело к SAMD13 (R4D38) <AntibodySystem,Китай> |
| Каталожный номер | RHP09501 |
| Название антигена | Sterile Alpha Motif Domain Containing Protein 13 (SaMD13) |
| UNIPROT | Q5VXD3 |
| Английские синонимы | HSD42 |
Реактивность подтвержденная Нужна другая реактивность? |
человек |
| Источник (хозяин) | мышь |
| Изотип | IgG1 |
| Клональность | моноклональное |
| Клон | R4D38 |
| Рекомбинантное | да |
| Готовое к использованию | нет |
| Концентрация | 1 мг/мл |
| Конъюгат | нет |
| Валидировано для | IHC Иммуногистохимия |
| Рекомендуемые разведения | IHC: 1:25-1:200 |
| Метод очистки | Очистка с белками A/G из супернатанта клеточной культуры |
| Чистота | >95% |
| Состав буфера | 0.01M PBS, pH 7.4, 0.05% натрия азид |
| Условия хранения | Хранить при 4°C не более 1-2 недель. Хранить при -20°C - 12 месяцев |
| Срок хранения | 12 месяцев |
| Производитель | AntibodySystem |
| Ссылка на страницу товара на сайте производителя | https://www.antibodysystem.com/product/37392.html |
Акции и предложения
Популярные продукты:
Human Succinic Acid ELISA Kit (E01S0475)
Организм: человек
APC Anti-Mouse CD49b/pan-NK cells Antibody[DX5] (FCE2603)
Источник (хозяин): крыса
Реактивность подтвержденная: мышь
Валидировано для: FCM
Реактивность подтвержденная: мышь
Валидировано для: FCM
Anti-SAMD13 Antibody (R4D38) (RHP09501)
Источник (хозяин): мышь
Реактивность подтвержденная: человек
Валидировано для: IHC
Реактивность подтвержденная: человек
Валидировано для: IHC
Anti-PSMD14 Antibody (R1C93) (RHA13801)
Источник (хозяин): кролик
Реактивность подтвержденная: человек, мышь, крыса
Валидировано для: IF, IHC, WB
Реактивность подтвержденная: человек, мышь, крыса
Валидировано для: IF, IHC, WB
SIPA1L3 Antibody (DF16022)
Источник (хозяин): кролик
Реактивность подтвержденная: человек
Валидировано для: IF, ICC
Реактивность подтвержденная: человек
Валидировано для: IF, ICC
RBM12 Antibody (DF15738)
Источник (хозяин): кролик
Реактивность подтвержденная: человек, мышь
Валидировано для: WB
Реактивность подтвержденная: человек, мышь
Валидировано для: WB

