| UNIPROT | O00422 |
Anti-SAP18 Antibody (R2T43) (RHA11201)
Реактивность подтвержденная:
человек
Источник (хозяин):
мышь
Валидировано для:
IHC
Характеристики
Техническое описание
| Русское название | RHA11201 Моноклональное антитело к SAP18 (R2T43) <AntibodySystem,Китай> |
| Каталожный номер | RHA11201 |
| Название антигена | Sin3A Associated Protein 18kDa (SAP18) |
| UNIPROT | O00422 |
| Английские синонимы | GIG38, 2HOR0202, Cell growth-inhibiting gene 38 protein, Sin3-associated polypeptide p18, Histone deacetylase complex subunit SAP18 |
Реактивность подтвержденная Нужна другая реактивность? |
человек |
| Источник (хозяин) | мышь |
| Изотип | IgG2a |
| Клональность | моноклональное |
| Клон | R2T43 |
| Рекомбинантное | да |
| Готовое к использованию | нет |
| Концентрация | 1 мг/мл |
| Конъюгат | нет |
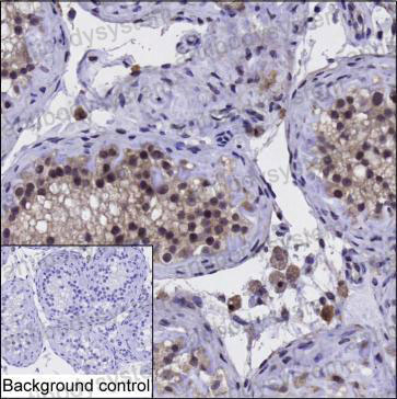
| Валидировано для | IHC Иммуногистохимия |
| Рекомендуемые разведения | IHC: 1:20-1:100 |
| Метод очистки | Очистка с белками A/G из супернатанта клеточной культуры |
| Чистота | >95% |
| Состав буфера | 0.01M PBS, pH 7.4, 0.05% натрия азид |
| Условия доставки | термобокс с аккумуляторами холода |
| Условия хранения | Хранить при 4°C не более 1-2 недель. Хранить при -20°C - 12 месяцев |
| Срок хранения | 12 месяцев |
| Производитель | AntibodySystem |
| Ссылка на страницу товара на сайте производителя | https://www.antibodysystem.com/product/34032.html |
|
Артикул
|
Наименование |
Производитель
|
|---|
Акции и предложения
Популярные продукты:
Anti-Human MYO7A Polyclonal Antibody (PHG51201)
Источник (хозяин): кролик
Реактивность подтвержденная: человек
Валидировано для: ELISA, IHC, WB
Реактивность подтвержденная: человек
Валидировано для: ELISA, IHC, WB
SYN1 Polyclonal Antibody (E-AB-16516)
Источник (хозяин): кролик
Реактивность подтвержденная: человек
Валидировано для: IHC, WB
Реактивность подтвержденная: человек
Валидировано для: IHC, WB
Guinea Pig AT rich interactive domain containing protein 3B(ARID3B) ELISA kit (E05A1641)
Организм: морская свинка
Monkey Calcyphosin 2(CAPS2) ELISA kit (E09C1371)
Организм: обезьяна
Chicken Phospholipid Scramblase 1 ELISA kit (E12P0689)
Организм: курица

