| UNIPROT | Q9UPW6 |
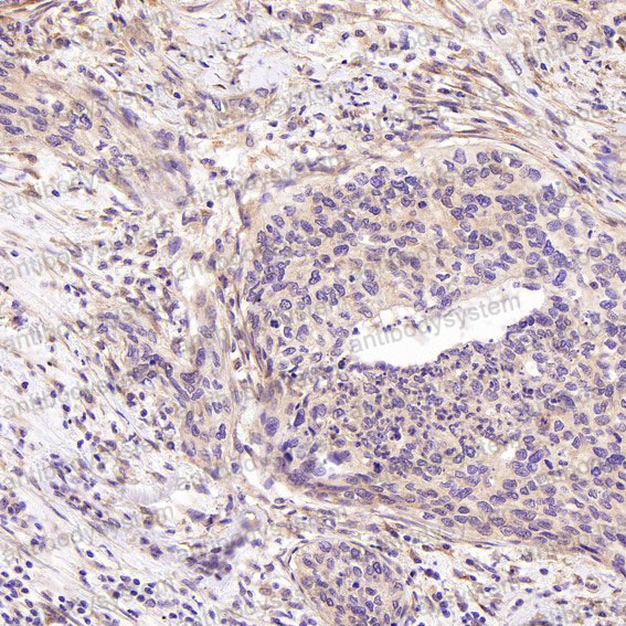
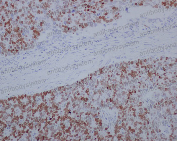
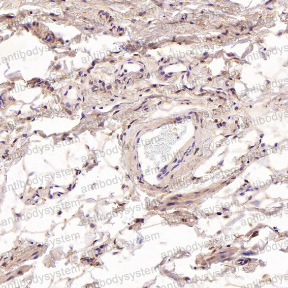
Anti-SATB2 Antibody (R1A49) (RHK53201)
Реактивность подтвержденная:
человек, мышь, крыса
Источник (хозяин):
кролик
Валидировано для:
IF
IHC
WB
Характеристики
Техническое описание
| Русское название | RHK53201 Моноклональное антитело к SATB2 (R1A49) <AntibodySystem,Китай> |
| Каталожный номер | RHK53201 |
| Название антигена | SATB Homeobox Protein 2 (SATB2) |
| UNIPROT | Q9UPW6 |
| Английские синонимы | DNA-binding protein SATB2, Special AT-rich sequence-binding protein 2 |
Реактивность подтвержденная Нужна другая реактивность? |
человек, мышь, крыса |
| Источник (хозяин) | кролик |
| Изотип | IgG |
| Клональность | моноклональное |
| Клон | R1A49 |
| Рекомбинантное | да |
| Готовое к использованию | нет |
| Концентрация | 1 мг/мл |
| Конъюгат | нет |
| Валидировано для | IF IHC WB Иммунофлуоресценция; Иммуногистохимия; Вестерн-блоттинг |
| Рекомендуемые разведения | IF: 1:50-1:200, IHC: 1:100-1:200, WB: 1:1000-1:2000 |
| Метод очистки | Очистка с белками A/G из супернатанта клеточной культуры |
| Чистота | >95% |
| Состав буфера | 0.01M PBS, pH 7.4, 0.05% БСА, 50% глицерин, 0.05% азид натрия |
| Условия доставки | термобокс с аккумуляторами холода |
| Условия хранения | Хранить при -20 С -12 месяцев |
| Срок хранения | 12 месяцев |
| Производитель | AntibodySystem |
| Ссылка на страницу товара на сайте производителя | https://www.antibodysystem.com/product/29655.html |
|
Артикул
|
Наименование |
Производитель
|
|---|
|
Артикул
|
Наименование |
Производитель
|
|---|
|
Артикул
|
Наименование |
Производитель
|
|---|
Акции и предложения
Популярные продукты:
ELISA Kit for Pannexin 1 (PANX1) (SEE788Ra)
Организм: крыса
Диапазон определения: 0.156-10 нг/мл
Чувствительность: 0.054 нг/мл
Диапазон определения: 0.156-10 нг/мл
Чувствительность: 0.054 нг/мл
Chicken Copine 1(CPNE1) ELISA kit (E12C2010)
Организм: курица
Mouse AP-4 complex subunit mu-1(AP4M1) ELISA kit (E03A1577)
Организм: мышь
Rat Tubulin--tyrosine ligase ELISA kit (E02T0930)
Организм: крыса

