| UNIPROT | P05408 |
Anti-SCG5 Antibody (R2Z23) (RHC16401)
Реактивность подтвержденная:
человек
Источник (хозяин):
мышь
Валидировано для:
IHC
Характеристики
Техническое описание
| Русское название | RHC16401 Моноклональное антитело к SCG5 (R2Z23) <AntibodySystem,Китай> |
| Каталожный номер | RHC16401 |
| Название антигена | Secretogranin V (SCG5) |
| UNIPROT | P05408 |
| Английские синонимы | SCGV, P7B2, SGNE1, SgV, 7B2 Protein, Neuroendocrine protein 7B2, Prohormone Convertase Chaperone, Pituitary polypeptide, Secretory granule endocrine protein I |
Реактивность подтвержденная Нужна другая реактивность? |
человек |
| Источник (хозяин) | мышь |
| Изотип | IgG1 |
| Клональность | моноклональное |
| Клон | R2Z23 |
| Рекомбинантное | да |
| Готовое к использованию | нет |
| Концентрация | 1 мг/мл |
| Конъюгат | нет |
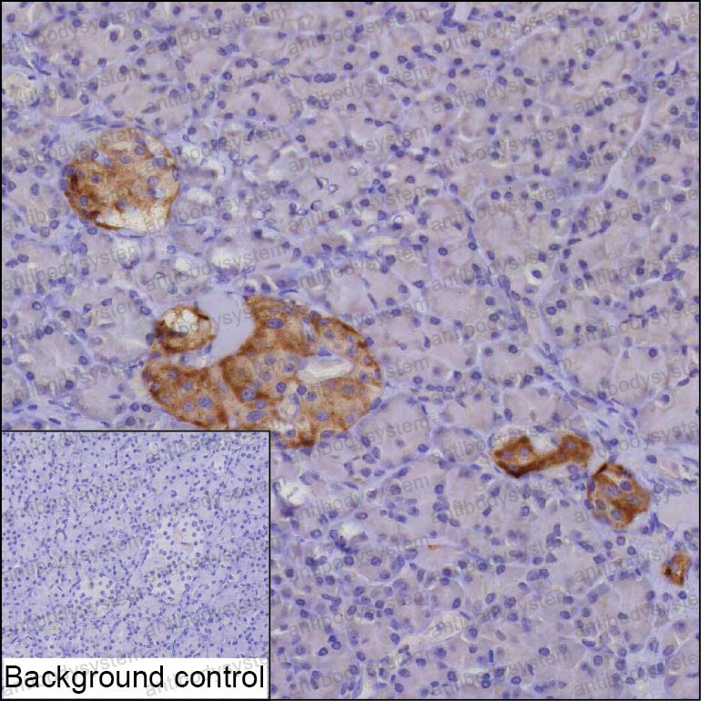
| Валидировано для | IHC Иммуногистохимия |
| Рекомендуемые разведения | IHC: 1:25-1:200 |
| Метод очистки | Очистка с белками A/G из супернатанта клеточной культуры |
| Чистота | >95% |
| Состав буфера | 0.01M PBS, pH 7.4, 0.05% натрия азид |
| Условия доставки | термобокс с аккумуляторами холода |
| Условия хранения | Хранить при 4°C не более 1-2 недель. Хранить при -20°C - 12 месяцев |
| Срок хранения | 12 месяцев |
| Производитель | AntibodySystem |
| Ссылка на страницу товара на сайте производителя | https://www.antibodysystem.com/product/34606.html |
|
Артикул
|
Наименование |
Производитель
|
|---|
|
Артикул
|
Наименование |
Производитель
|
|---|
Акции и предложения
Популярные продукты:
ELISA Kit DIY Materials for Nerve Growth Factor (NGF) (KSA105Gu01)
Организм: морская свинка
Диапазон определения: 15.6-1000 пг/мл
Чувствительность: 5.9 пг/мл
Диапазон определения: 15.6-1000 пг/мл
Чувствительность: 5.9 пг/мл
Chicken Calreticulin 3(CALR3) ELISA kit (E12C1330)
Организм: курица
Goat Cancer/testis antigen 1(CTAG1A) ELISA kit (E06C2140)
Организм: коза

