| UNIPROT | Q96LD8 |
Anti-SENP8 Antibody (R4D30) (RHP08701)
Реактивность подтвержденная:
человек
Источник (хозяин):
мышь
Валидировано для:
IHC
Характеристики
Техническое описание
| Русское название | RHP08701 Моноклональное антитело к SENP8 (R4D30) <AntibodySystem,Китай> |
| Каталожный номер | RHP08701 |
| Название антигена | Sentrin Specific Protease 8 (SENP8) |
| UNIPROT | Q96LD8 |
| Английские синонимы | DEN1, HsT17512, NEDP1, PRSC2, Deneddylase 1, Protease, cysteine 2, SUMO/Sentrin Specific Peptidase Family Member 8, NEDD8-Specific Protease 1 |
Реактивность подтвержденная Нужна другая реактивность? |
человек |
| Источник (хозяин) | мышь |
| Изотип | IgG2a |
| Клональность | моноклональное |
| Клон | R4D30 |
| Рекомбинантное | да |
| Готовое к использованию | нет |
| Концентрация | 1 мг/мл |
| Конъюгат | нет |
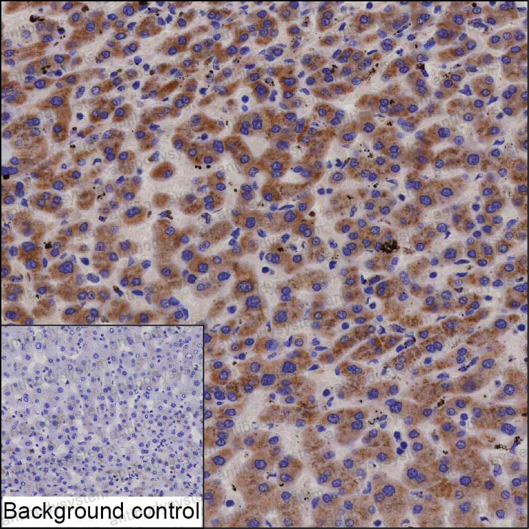
| Валидировано для | IHC Иммуногистохимия |
| Рекомендуемые разведения | IHC: 1:25-1:200 |
| Метод очистки | Очистка с белками A/G из супернатанта клеточной культуры |
| Чистота | >95% |
| Состав буфера | 0.01M PBS, pH 7.4, 0.05% натрия азид |
| Условия хранения | Хранить при 4°C не более 1-2 недель. Хранить при -20°C - 12 месяцев |
| Срок хранения | 12 месяцев |
| Производитель | AntibodySystem |
| Ссылка на страницу товара на сайте производителя | https://www.antibodysystem.com/product/37384.html |
|
Артикул
|
Наименование |
Производитель
|
|---|
|
Артикул
|
Наименование |
Производитель
|
|---|
Акции и предложения
Популярные продукты:
Chicken Sialic acid ELISA kit (E12S0227)
Организм: курица
Human D aspartate oxidase(DDO) ELISA kit (E01D0280)
Организм: человек
Диапазон определения: 50-1000 пг/мл
Чувствительность: 1 пг/мл
Диапазон определения: 50-1000 пг/мл
Чувствительность: 1 пг/мл
Rat β parvin(PARVB) ELISA kit (E02B0959)
Организм: крыса
Mouse Alpha 1 β glycoprotein ELISA kit (E03G0010)
Организм: мышь
Chicken Ammonium transporter Rh type B(RHBG) ELISA kit (E12A1064)
Организм: курица

