| UNIPROT | P01011 |
Anti-SERPINA3 Antibody (R2W97) (RHB89601)
Реактивность подтвержденная:
человек
Источник (хозяин):
мышь
Валидировано для:
ELISA
FCM
IHC
WB
Характеристики
Техническое описание
| Русское название | RHB89601 Моноклональное антитело к SERPINA3 (R2W97) <AntibodySystem,Китай> |
| Каталожный номер | RHB89601 |
| Название антигена | Alpha-1-Antichymotrypsin (a1ACT) |
| UNIPROT | P01011 |
| Английские синонимы | A1-ACT, SERPINA3, AACT, ACT, GIG24, GIG25, Serpin Peptidase Inhibitor Clade A Member 3(Alpha-1 Antiproteinase, Antitrypsin), Cell growth-inhibiting gene 24/25 protein |
Реактивность подтвержденная Нужна другая реактивность? |
человек |
| Источник (хозяин) | мышь |
| Изотип | IgG1 |
| Клональность | моноклональное |
| Клон | R2W97 |
| Рекомбинантное | да |
| Готовое к использованию | нет |
| Концентрация | 1 мг/мл |
| Конъюгат | нет |
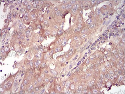
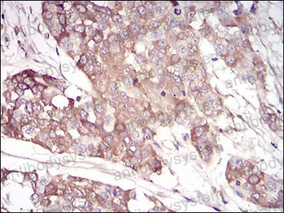
| Валидировано для | ELISA FCM IHC WB Иммуноферментный анализ; Проточная цитометрия; Иммуногистохимия; Вестерн-блоттинг |
| Рекомендуемые разведения | ELISA: 1:10000, FCM: 1:200-1:400, IHC: 1:200-1:1000, WB: 1:500-1:2000 |
| Метод очистки | Очистка с белками A/G из супернатанта клеточной культуры |
| Чистота | >95% |
| Состав буфера | 0.01M PBS, pH 7.4, 0.05% натрия азид |
| Условия доставки | термобокс с аккумуляторами холода |
| Условия хранения | Хранить при 4°C не более 1-2 недель. Хранить при -20°C - 12 месяцев |
| Срок хранения | 12 месяцев |
| Производитель | AntibodySystem |
| Ссылка на страницу товара на сайте производителя | https://www.antibodysystem.com/product/34383.html |
|
Артикул
|
Наименование |
Производитель
|
|---|
|
Артикул
|
Наименование |
Производитель
|
|---|
|
Артикул
|
Наименование |
Производитель
|
|---|
|
Артикул
|
Наименование |
Производитель
|
|---|
Акции и предложения
Популярные продукты:
Mouse Dynamin 1 ELISA kit (E03D0247)
Организм: мышь
Human Dynamin 1 ELISA kit (E01D0247)
Организм: человек
Диапазон определения: 1-25 нг/мл
Чувствительность: 0.1 нг/мл
Диапазон определения: 1-25 нг/мл
Чувствительность: 0.1 нг/мл
Rabbit L lactate dehydrogenase B chain(LDHB) ELISA kit (E04L0324)
Организм: кролик
Monkey Contactin 2 ELISA kit (E09C0561)
Организм: обезьяна

