| UNIPROT | P05121 |
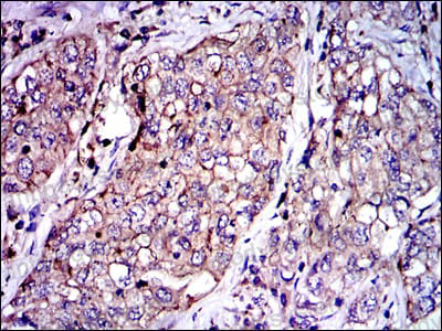
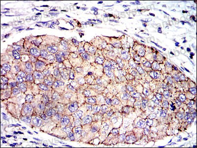
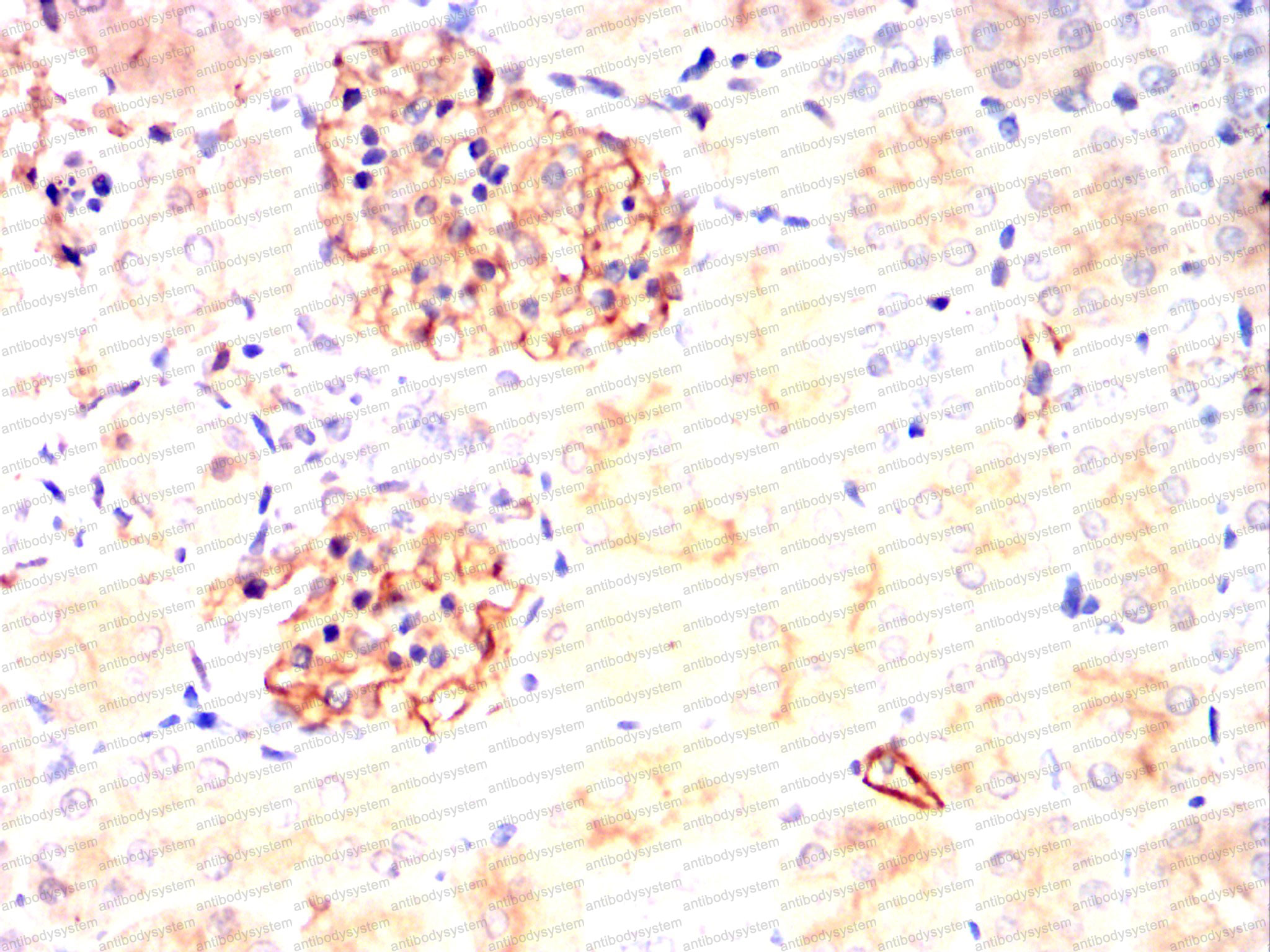
Anti-SERPINE1/PAI-1 Antibody (R2Z08) (RHC13909)
Реактивность подтвержденная:
человек, мышь, крыса, кролик
Источник (хозяин):
мышь
Валидировано для:
ELISA
FCM
IHC
Характеристики
Техническое описание
| Русское название | RHC13909 Моноклональное антитело к SERPINE1/PAI-1 (R2Z08) <AntibodySystem,Китай> |
| Каталожный номер | RHC13909 |
| Название антигена | Plasminogen Activator Inhibitor 1 (PAI1) |
| UNIPROT | P05121 |
| Английские синонимы | SERPINE1, PLANH1, Serpin Peptidase Inhibitor Clade E Member 1, Nexin,Plasminogen Activator Inhibitor Type 1 Serpin E1, Endothelial plasminogen activator inhibitor, PAI-1 |
Реактивность подтвержденная Нужна другая реактивность? |
человек, мышь, крыса, кролик |
| Источник (хозяин) | мышь |
| Изотип | IgG1 |
| Клональность | моноклональное |
| Клон | R2Z08 |
| Рекомбинантное | да |
| Готовое к использованию | нет |
| Концентрация | 1 мг/мл |
| Конъюгат | нет |
| Валидировано для | ELISA FCM IHC Иммуноферментный анализ; Проточная цитометрия; Иммуногистохимия |
| Рекомендуемые разведения | ELISA: 1:10000, FCM: 1:200-1:400, IHC: 1:200-1:1000 |
| Метод очистки | Очистка с белками A/G из супернатанта клеточной культуры |
| Чистота | >95% |
| Состав буфера | 0.01M PBS, pH 7.4, 0.05% натрия азид |
| Условия доставки | термобокс с аккумуляторами холода |
| Условия хранения | Хранить при 4°C не более 1-2 недель. Хранить при -20°C - 12 месяцев |
| Срок хранения | 12 месяцев |
| Производитель | AntibodySystem |
| Ссылка на страницу товара на сайте производителя | https://www.antibodysystem.com/product/34591.html |
|
Артикул
|
Наименование |
Производитель
|
|---|
|
Артикул
|
Наименование |
Производитель
|
|---|
|
Артикул
|
Наименование |
Производитель
|
|---|
|
Артикул
|
Наименование |
Производитель
|
|---|
|
Артикул
|
Наименование |
Производитель
|
|---|
|
Артикул
|
Наименование |
Производитель
|
|---|
|
Артикул
|
Наименование |
Производитель
|
|---|
|
Артикул
|
Наименование |
Производитель
|
|---|
|
Артикул
|
Наименование |
Производитель
|
|---|
|
Артикул
|
Наименование |
Производитель
|
|---|
Акции и предложения
Популярные продукты:
Rabbit C C chemokine receptor type 9(CCR9) ELISA kit (E04C1457)
Организм: кролик
Anti-Mouse ZNF423 Antibody (N328B/37R) (RMH46601)
Источник (хозяин): мышь
Реактивность подтвержденная: человек, мышь
Валидировано для: ICC, IHC, WB
Реактивность подтвержденная: человек, мышь
Валидировано для: ICC, IHC, WB
Anti-SERPINE1/PAI-1 Antibody (R2Z08) (RHC13909)
Источник (хозяин): мышь
Реактивность подтвержденная: человек, мышь, крыса, кролик
Валидировано для: ELISA, FCM, IHC
Реактивность подтвержденная: человек, мышь, крыса, кролик
Валидировано для: ELISA, FCM, IHC
Anti-Histone H2B (formyl K116) Antibody (R2H49) (RHH37003)
Источник (хозяин): кролик
Реактивность подтвержденная: человек, мышь
Валидировано для: IF, WB
Реактивность подтвержденная: человек, мышь
Валидировано для: IF, WB
ZSCAN20 Polyclonal Antibody (E-AB-90827)
Источник (хозяин): кролик
Реактивность подтвержденная: человек, мышь
Валидировано для: WB
Реактивность подтвержденная: человек, мышь
Валидировано для: WB

