| UNIPROT | O14975 |
Anti-SLC27A2 Antibody (R2U23) (RHA36601)
Реактивность подтвержденная:
человек
Источник (хозяин):
мышь
Валидировано для:
ELISA
IHC
Характеристики
Техническое описание
| Русское название | RHA36601 Моноклональное антитело к SLC27A2 (R2U23) <AntibodySystem,Китай> |
| Каталожный номер | RHA36601 |
| Название антигена | Fatty Acid Transport Protein 2 (FATP2) |
| UNIPROT | O14975 |
| Английские синонимы | SLC27A2, ACSVL1, FACVL1, VLACS, VLCS, hFACVL1, Long-Chain Fatty Acid Transport Protein 2, Solute Carrier Family 27 Member 2,Fatty Acid Transporter |
Реактивность подтвержденная Нужна другая реактивность? |
человек |
| Источник (хозяин) | мышь |
| Изотип | IgG1 |
| Клональность | моноклональное |
| Клон | R2U23 |
| Рекомбинантное | да |
| Готовое к использованию | нет |
| Концентрация | 1 мг/мл |
| Конъюгат | нет |
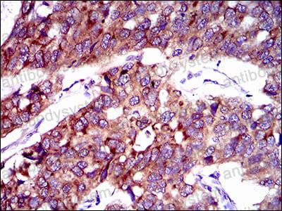
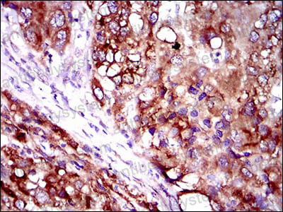
| Валидировано для | ELISA IHC Иммуноферментный анализ; Иммуногистохимия |
| Рекомендуемые разведения | ELISA: 1:10000, IHC: 1:200-1:1000 |
| Метод очистки | Очистка с белками A/G из супернатанта клеточной культуры |
| Чистота | >95% |
| Состав буфера | 0.01M PBS, pH 7.4, 0.05% натрия азид |
| Условия доставки | термобокс с аккумуляторами холода |
| Условия хранения | Хранить при 4°C не более 1-2 недель. Хранить при -20°C - 12 месяцев |
| Срок хранения | 12 месяцев |
| Производитель | AntibodySystem |
| Ссылка на страницу товара на сайте производителя | https://www.antibodysystem.com/product/34111.html |
|
Артикул
|
Наименование |
Производитель
|
|---|
|
Артикул
|
Наименование |
Производитель
|
|---|
|
Артикул
|
Наименование |
Производитель
|
|---|
Акции и предложения
Популярные продукты:
Mouse Arrestin β 1 ELISA kit (E03A0344)
Организм: мышь
Human Arrestin β 1 ELISA kit (E01A0344)
Организм: человек
Диапазон определения: 0.5-10 нг/мл
Чувствительность: 0.1 нг/мл
Диапазон определения: 0.5-10 нг/мл
Чувствительность: 0.1 нг/мл
Rat Protein S ELISA kit (E02P0144)
Организм: крыса

