| UNIPROT | O43623 |
Anti-SNAI2 Antibody (R2U97) (RHA73101)
Реактивность подтвержденная:
человек
Источник (хозяин):
мышь
Валидировано для:
ELISA
FCM
IF
IHC
WB
Характеристики
Техническое описание
| Русское название | RHA73101 Моноклональное антитело к SNAI2 (R2U97) <AntibodySystem,Китай> |
| Каталожный номер | RHA73101 |
| Название антигена | Snail Homolog 2 (SNAI2) |
| UNIPROT | O43623 |
| Английские синонимы | SLUG, SLUGH1, WS2D, Slug Homolog,Zinc Finger Protein, Neural crest transcription factor Slug |
Реактивность подтвержденная Нужна другая реактивность? |
человек |
| Источник (хозяин) | мышь |
| Изотип | IgG1 |
| Клональность | моноклональное |
| Клон | R2U97 |
| Рекомбинантное | да |
| Готовое к использованию | нет |
| Концентрация | 1 мг/мл |
| Конъюгат | нет |
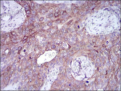
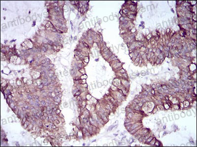
| Валидировано для | ELISA FCM IF IHC WB Иммуноферментный анализ; Проточная цитометрия; Иммунофлуоресценция; Иммуногистохимия; Вестерн-блоттинг |
| Рекомендуемые разведения | ELISA: 1:10000, FCM: 1:200-1:400, IF: 1:200-1:1000, IHC: 1:200-1:1000, WB: 1:500-1:2000 |
| Метод очистки | Очистка с белками A/G из супернатанта клеточной культуры |
| Чистота | >95% |
| Состав буфера | 0.01M PBS, pH 7.4, 0.05% натрия азид |
| Условия доставки | термобокс с аккумуляторами холода |
| Условия хранения | Хранить при 4°C не более 1-2 недель. Хранить при -20°C - 12 месяцев |
| Срок хранения | 12 месяцев |
| Производитель | AntibodySystem |
| Ссылка на страницу товара на сайте производителя | https://www.antibodysystem.com/product/34185.html |
|
Артикул
|
Наименование |
Производитель
|
|---|
|
Артикул
|
Наименование |
Производитель
|
|---|
Акции и предложения
Популярные продукты:
Mouse Protein TBRG4(TBRG4) ELISA kit (E03P0896)
Организм: мышь
Monkey Apolipoprotein C3 ELISA kit (E09A0516)
Организм: обезьяна
Диапазон определения: 50-1000 нг/мл
Чувствительность: 1 нг/мл
Диапазон определения: 50-1000 нг/мл
Чувствительность: 1 нг/мл
Goat Apolipoprotein C3 ELISA kit (E06A0516)
Организм: коза
Recombinant Human IGFBP1 Protein, N-His (YHC36501)
Источник (хозяин): E.coli
Организм: человек
Фрагмент: Ala26-Asn259
Теги: N-His
Биоактивность: нет
Организм: человек
Фрагмент: Ala26-Asn259
Теги: N-His
Биоактивность: нет
Anti-BCL9L Antibody (R4B71) (RHN97002)
Источник (хозяин): мышь
Реактивность подтвержденная: человек
Валидировано для: ELISA, IHC
Реактивность подтвержденная: человек
Валидировано для: ELISA, IHC

