| UNIPROT | P04179 |
Anti-SOD2 Antibody (R2Y61) (RHC07103)
Реактивность подтвержденная:
человек
Источник (хозяин):
мышь
Валидировано для:
ELISA
FCM
IHC
WB
Характеристики
Техническое описание
| Русское название | RHC07103 Моноклональное антитело к SOD2 (R2Y61) <AntibodySystem,Китай> |
| Каталожный номер | RHC07103 |
| Название антигена | Superoxide Dismutase 2, Mitochondrial (SOD2) |
| UNIPROT | P04179 |
| Английские синонимы | IPO-B, MNSOD, Mn-SOD |
Реактивность подтвержденная Нужна другая реактивность? |
человек |
| Источник (хозяин) | мышь |
| Изотип | IgG1 |
| Клональность | моноклональное |
| Клон | R2Y61 |
| Рекомбинантное | да |
| Готовое к использованию | нет |
| Концентрация | 1 мг/мл |
| Конъюгат | нет |
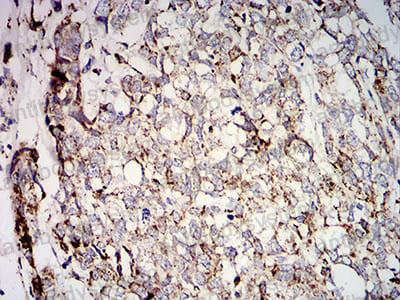
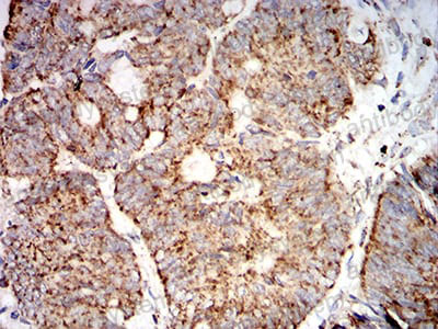
| Валидировано для | ELISA FCM IHC WB Иммуноферментный анализ; Проточная цитометрия; Иммуногистохимия; Вестерн-блоттинг |
| Рекомендуемые разведения | ELISA: 1:10000, FCM: 1:200-1:400, IHC: 1:200-1:1000, WB: 1:500-1:2000 |
| Метод очистки | Очистка с белками A/G из супернатанта клеточной культуры |
| Чистота | >95% |
| Состав буфера | 0.01M PBS, pH 7.4, 0.05% натрия азид |
| Условия доставки | термобокс с аккумуляторами холода |
| Условия хранения | Хранить при 4°C не более 1-2 недель. Хранить при -20°C - 12 месяцев |
| Срок хранения | 12 месяцев |
| Производитель | AntibodySystem |
| Ссылка на страницу товара на сайте производителя | https://www.antibodysystem.com/product/34545.html |
|
Артикул
|
Наименование |
Производитель
|
|---|
|
Артикул
|
Наименование |
Производитель
|
|---|
|
Артикул
|
Наименование |
Производитель
|
|---|
|
Артикул
|
Наименование |
Производитель
|
|---|
Акции и предложения
Популярные продукты:
Rat Carbonic anhydrase 13(CA13) ELISA kit (E02C1280)
Организм: крыса
Porcine Collagen Alpha 2(IX) chain (COL9A2) ELISA kit (E07C1923)
Организм: свинья
Canine Thyroid Hormone Autoantibody ELISA kit (E08T0197)
Организм: собака
Human Nitric oxide synthase ELISA kit (E01N0092)
Организм: человек
Диапазон определения: 5-100 нг/мл
Чувствительность: 1 нг/мл
Диапазон определения: 5-100 нг/мл
Чувствительность: 1 нг/мл
Anti-Pseudomonas cumA1 Polyclonal Antibody (PXX20301)
Источник (хозяин): кролик
Реактивность подтвержденная: бактерии
Валидировано для: ELISA, IHC, WB
Реактивность подтвержденная: бактерии
Валидировано для: ELISA, IHC, WB

