| UNIPROT | P42224 |
Anti-STAT1 Antibody (R3K68) (RHE34309)
Реактивность подтвержденная:
человек, мышь, крыса
Источник (хозяин):
мышь
Валидировано для:
IHC
Характеристики
Техническое описание
| Русское название | RHE34309 Моноклональное антитело к STAT1 (R3K68) <AntibodySystem,Китай> |
| Каталожный номер | RHE34309 |
| Название антигена | Signal Transducer And Activator Of Transcription 1 (STAT1) |
| UNIPROT | P42224 |
| Английские синонимы | ISGF-3, STAT91, Transcription Factor ISGF-3 Components p91/p84 |
Реактивность подтвержденная Нужна другая реактивность? |
человек, мышь, крыса |
| Источник (хозяин) | мышь |
| Изотип | IgG1 |
| Клональность | моноклональное |
| Клон | R3K68 |
| Рекомбинантное | да |
| Готовое к использованию | нет |
| Концентрация | 1 мг/мл |
| Конъюгат | нет |
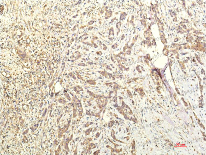
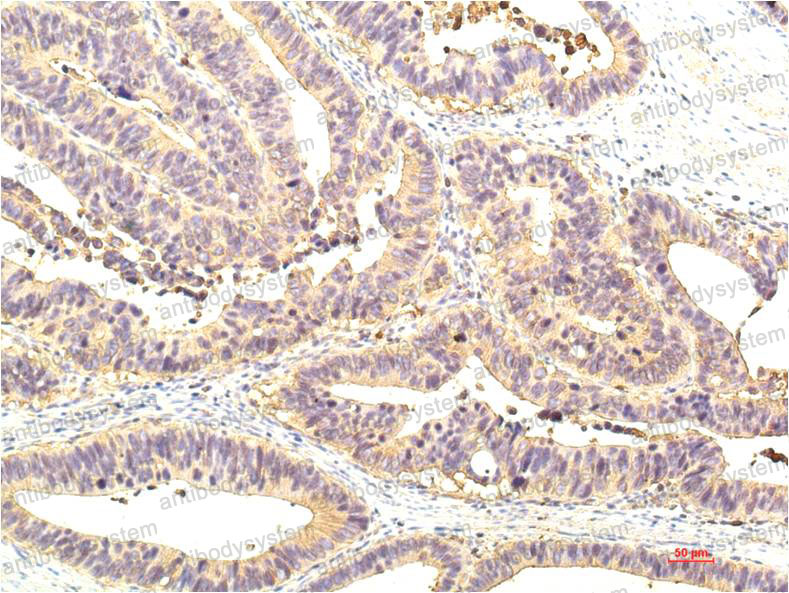
| Валидировано для | IHC Иммуногистохимия |
| Рекомендуемые разведения | IHC: 1:50-1:100 |
| Метод очистки | Очистка с белками A/G из супернатанта клеточной культуры |
| Чистота | >95% |
| Состав буфера | 0.01M PBS, pH 7.4, 0.5% БСА, 0.05% натрия азид,50% глицерин |
| Условия хранения | Хранить при 4°C не более 1-2 недель. Хранить при -20°C - 12 месяцев |
| Срок хранения | 12 месяцев |
| Производитель | AntibodySystem |
| Ссылка на страницу товара на сайте производителя | https://www.antibodysystem.com/product/35641.html |
|
Артикул
|
Наименование |
Производитель
|
|---|
|
Артикул
|
Наименование |
Производитель
|
|---|
|
Артикул
|
Наименование |
Производитель
|
|---|
|
Артикул
|
Наименование |
Производитель
|
|---|
|
Артикул
|
Наименование |
Производитель
|
|---|
|
Артикул
|
Наименование |
Производитель
|
|---|
Акции и предложения
Популярные продукты:
ELISA Kit for Leucine Rich Repeat Containing G Protein Coupled Receptor 5 (LGR5) (SEG047Mu)
Организм: мышь
Диапазон определения: 0.156-10 нг/мл
Чувствительность: 0.054 нг/мл
Диапазон определения: 0.156-10 нг/мл
Чувствительность: 0.054 нг/мл
SMAD6 Mouse Monoclonal Antibody (BF8507)
Источник (хозяин): мышь
Реактивность подтвержденная: человек, крыса
Валидировано для: WB
Реактивность подтвержденная: человек, крыса
Валидировано для: WB
Anti-Crucian carp IgM Antibody (R4E17) (RWJ93209)
Источник (хозяин): мышь
Реактивность подтвержденная: рыба
Валидировано для: ELISA, FCM, WB
Реактивность подтвержденная: рыба
Валидировано для: ELISA, FCM, WB
Monoclonal Antibody to Vitamin D Binding Protein (DBP) (MAB810Hu29)
Источник (хозяин): мышь
Реактивность подтвержденная: человек
Валидировано для: IHC, WB
Реактивность подтвержденная: человек
Валидировано для: IHC, WB
Porcine Alpha (1,3) fucosyltransferase (FUT7) ELISA kit (E07A1866)
Организм: свинья

