| UNIPROT | Q6J9G0 |
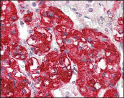
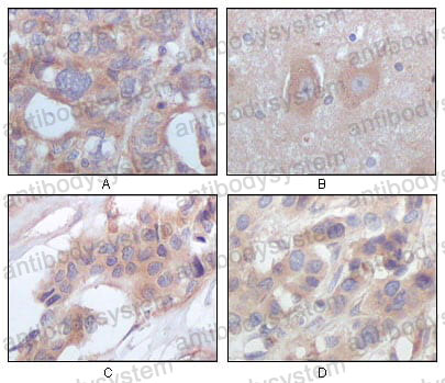
Anti-STYK1 Antibody (R4A73) (RHN90901)
Реактивность подтвержденная:
человек
Источник (хозяин):
мышь
Валидировано для:
IHC
Характеристики
Техническое описание
| Русское название | RHN90901 Моноклональное антитело к STYK1 (R4A73) <AntibodySystem,Китай> |
| Каталожный номер | RHN90901 |
| Название антигена | Serine/Threonine/Tyrosine Kinase 1 (STYK1) |
| UNIPROT | Q6J9G0 |
| Английские синонимы | NOK, Novel Oncogene With Kinase Domain, Protein PK-unique, Tyrosine-protein kinase STYK1 |
Реактивность подтвержденная Нужна другая реактивность? |
человек |
| Источник (хозяин) | мышь |
| Изотип | IgG1 |
| Клональность | моноклональное |
| Клон | R4A73 |
| Рекомбинантное | да |
| Готовое к использованию | нет |
| Концентрация | 1 мг/мл |
| Конъюгат | нет |
| Валидировано для | IHC Иммуногистохимия |
| Рекомендуемые разведения | IHC: 1:200-1:1000 |
| Метод очистки | Очистка с белками A/G из супернатанта клеточной культуры |
| Чистота | >95% |
| Состав буфера | 0.01M PBS, pH 7.4, 0.05% натрия азид |
| Условия хранения | Хранить при 4°C не более 1-2 недель. Хранить при -20°C - 12 месяцев |
| Срок хранения | 12 месяцев |
| Производитель | AntibodySystem |
| Ссылка на страницу товара на сайте производителя | https://www.antibodysystem.com/product/37130.html |
|
Артикул
|
Наименование |
Производитель
|
|---|
Акции и предложения
Популярные продукты:
Anti-Myxovirus Resistance 1 (MX1) Polyclonal Antibody (FAL763Mu01)
Источник (хозяин): кролик
Реактивность подтвержденная: мышь
Валидировано для: FCM
Реактивность подтвержденная: мышь
Валидировано для: FCM
ELISA Kit DIY Materials for WNT1 Inducible Signaling Pathway Protein 2 (WISP2) (KSG894Hu01)
Организм: человек
Диапазон определения: 0.312-20 нг/мл
Чувствительность: 0.119 нг/мл
Диапазон определения: 0.312-20 нг/мл
Чувствительность: 0.119 нг/мл
Monoclonal Antibody to Complement Component 5 (C5) (MAB969Hu21)
Источник (хозяин): мышь
Реактивность подтвержденная: человек
Валидировано для: WB
Реактивность подтвержденная: человек
Валидировано для: WB
Bovine Parkinson Disease Protein 7 ELISA kit (E11P1009)
Организм: корова
Canine Carboxypeptidase Z(CPZ) ELISA kit (E08C2032)
Организм: собака
Canine Calpain 11(CAPN11) ELISA kit (E08C1355)
Организм: собака

