| UNIPROT | P09758 |
Anti-TACSTD2/TROP2 Antibody (R3B74) (RHC43305)
Реактивность подтвержденная:
человек
Источник (хозяин):
мышь
Валидировано для:
ELISA
FCM
IHC
WB
Характеристики
Техническое описание
| Русское название | RHC43305 Моноклональное антитело к TACSTD2/TROP2 (R3B74) <AntibodySystem,Китай> |
| Каталожный номер | RHC43305 |
| Название антигена | Tumor Associated Calcium Signal Transducer 2 (TACSTD2) |
| UNIPROT | P09758 |
| Английские синонимы | EGP-1, M1S1, TROP2, Membrane component chromosome 1 surface marker 1, Pancreatic carcinoma marker protein GA733-1, Cell surface glycoprotein Trop-2 |
Реактивность подтвержденная Нужна другая реактивность? |
человек |
| Источник (хозяин) | мышь |
| Изотип | IgG2b |
| Клональность | моноклональное |
| Клон | R3B74 |
| Рекомбинантное | да |
| Готовое к использованию | нет |
| Концентрация | 1 мг/мл |
| Конъюгат | нет |
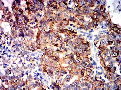
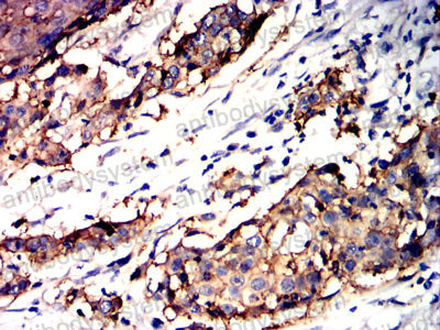
| Валидировано для | ELISA FCM IHC WB Иммуноферментный анализ; Проточная цитометрия; Иммуногистохимия; Вестерн-блоттинг |
| Рекомендуемые разведения | ELISA: 1:10000, FCM: 1:200-1:400, IHC: 1:200-1:1000, WB: 1:500-1:2000 |
| Метод очистки | Очистка с белками A/G из супернатанта клеточной культуры |
| Чистота | >95% |
| Состав буфера | 0.01M PBS, pH 7.4, 0.05% натрия азид |
| Условия доставки | термобокс с аккумуляторами холода |
| Условия хранения | Хранить при 4°C не более 1-2 недель. Хранить при -20°C - 12 месяцев |
| Срок хранения | 12 месяцев |
| Производитель | AntibodySystem |
| Ссылка на страницу товара на сайте производителя | https://www.antibodysystem.com/product/34855.html |
|
Артикул
|
Наименование |
Производитель
|
|---|
|
Артикул
|
Наименование |
Производитель
|
|---|
|
Артикул
|
Наименование |
Производитель
|
|---|
Акции и предложения
Популярные продукты:
Porcine Prorelaxin H2 ELISA kit (E07P1205)
Организм: свинья
Bovine Glycogen Phosphorylase, Muscle ELISA kit (E11P0170)
Организм: корова
Recombinant Human Amphiregulin/AREG Protein (PKSH032063)
Источник (хозяин): E.coli
Организм: человек
Фрагмент: Ser101-Lys198
Теги: без тега
Биоактивность: нет
Организм: человек
Фрагмент: Ser101-Lys198
Теги: без тега
Биоактивность: нет
Anti-Miro2 Antibody (N384/74) (RHK43202)
Источник (хозяин): мышь
Реактивность подтвержденная: для всех
Валидировано для: IHC, WB
Реактивность подтвержденная: для всех
Валидировано для: IHC, WB
Recombinant Mouse CD31/PECAM1 Protein, N-His (YMD16401)
Источник (хозяин): E.coli
Организм: мышь
Фрагмент: Ser21-Ser221
Теги: N-His
Биоактивность: нет
Организм: мышь
Фрагмент: Ser21-Ser221
Теги: N-His
Биоактивность: нет
Recombinant Human PRAME Protein, N-His (YHF67001)
Источник (хозяин): E.coli
Организм: человек
Фрагмент: Asn416-Leu502
Теги: N-His
Биоактивность: нет
Организм: человек
Фрагмент: Asn416-Leu502
Теги: N-His
Биоактивность: нет

