| UNIPROT | Q15814 |
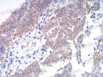
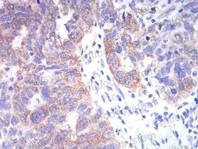
Anti-TBCC Antibody (R3U07) (RHH20501)
Реактивность подтвержденная:
человек
Источник (хозяин):
мышь
Валидировано для:
ELISA
IF
IHC
Характеристики
Техническое описание
| Русское название | RHH20501 Моноклональное антитело к TBCC (R3U07) <AntibodySystem,Китай> |
| Каталожный номер | RHH20501 |
| Название антигена | Tubulin Folding Cofactor C (TBCC) |
| UNIPROT | Q15814 |
| Английские синонимы | TBC-C, CFC, Tubulin Specific Chaperone C |
Реактивность подтвержденная Нужна другая реактивность? |
человек |
| Источник (хозяин) | мышь |
| Изотип | IgG1 |
| Клональность | моноклональное |
| Клон | R3U07 |
| Рекомбинантное | да |
| Готовое к использованию | нет |
| Концентрация | 1 мг/мл |
| Конъюгат | нет |
| Валидировано для | ELISA IF IHC Иммуноферментный анализ; Иммунофлуоресценция; Иммуногистохимия |
| Рекомендуемые разведения | ELISA: 1:10000, IF: 1:200-1:1000, IHC: 1:200-1:1000 |
| Метод очистки | Очистка с белками A/G из супернатанта клеточной культуры |
| Чистота | >95% |
| Состав буфера | 0.01M PBS, pH 7.4, 0.05% натрия азид |
| Условия хранения | Хранить при 4°C не более 1-2 недель. Хранить при -20°C - 12 месяцев |
| Срок хранения | 12 месяцев |
| Производитель | AntibodySystem |
| Ссылка на страницу товара на сайте производителя | https://www.antibodysystem.com/product/36470.html |
|
Артикул
|
Наименование |
Производитель
|
|---|
Акции и предложения
Популярные продукты:
Goat Carboxypeptidase A4(CPA4) ELISA kit (E06C1992)
Организм: коза
Hamster Cytochrome P450 3A1 Elisa kit (E18C2714)
Организм: хомяк
Диапазон определения: 2.5-50 нг/мл
Диапазон определения: 2.5-50 нг/мл
Rat Cytochrome P450 3A1 Elisa kit (E02C2714)
Организм: крыса
Диапазон определения: 2.5-50 нг/мл
Диапазон определения: 2.5-50 нг/мл

