| UNIPROT | P05543 |
Anti-TBG/SERPINA7 Antibody (R2Z30) (RHC17301)
Реактивность подтвержденная:
человек
Источник (хозяин):
мышь
Валидировано для:
ELISA
FCM
IF
IHC
Характеристики
Техническое описание
| Русское название | RHC17301 Моноклональное антитело к TBG/SERPINA7 (R2Z30) <AntibodySystem,Китай> |
| Каталожный номер | RHC17301 |
| Название антигена | Thyroxine Binding Globulin (TBG) |
| UNIPROT | P05543 |
| Английские синонимы | SERPINA7, Serpin Peptidase Inhibitor Clade A Member 7, T4-binding globulin |
Реактивность подтвержденная Нужна другая реактивность? |
человек |
| Источник (хозяин) | мышь |
| Изотип | IgG1 |
| Клональность | моноклональное |
| Клон | R2Z30 |
| Рекомбинантное | да |
| Готовое к использованию | нет |
| Концентрация | 1 мг/мл |
| Конъюгат | нет |
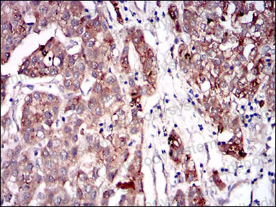
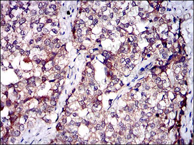
| Валидировано для | ELISA FCM IF IHC Иммуноферментный анализ; Проточная цитометрия; Иммунофлуоресценция; Иммуногистохимия |
| Рекомендуемые разведения | ELISA: 1:10000, FCM: 1:200-1:400, IF: 1:200-1:1000, IHC: 1:200-1:1000 |
| Метод очистки | Очистка с белками A/G из супернатанта клеточной культуры |
| Чистота | >95% |
| Состав буфера | 0.01M PBS, pH 7.4, 0.05% натрия азид |
| Условия доставки | термобокс с аккумуляторами холода |
| Условия хранения | Хранить при 4°C не более 1-2 недель. Хранить при -20°C - 12 месяцев |
| Срок хранения | 12 месяцев |
| Производитель | AntibodySystem |
| Ссылка на страницу товара на сайте производителя | https://www.antibodysystem.com/product/34613.html |
|
Артикул
|
Наименование |
Производитель
|
|---|
|
Артикул
|
Наименование |
Производитель
|
|---|
|
Артикул
|
Наименование |
Производитель
|
|---|
|
Артикул
|
Наименование |
Производитель
|
|---|
Акции и предложения
Популярные продукты:
Porcine Spermine ELISA kit (E07S0034)
Организм: свинья
Anti-RISP/UQCRFS1 Antibody (R3L66) (RHE54003)
Источник (хозяин): мышь
Реактивность подтвержденная: человек
Валидировано для: ELISA, FCM, IF, WB
Реактивность подтвержденная: человек
Валидировано для: ELISA, FCM, IF, WB
Anti-TBG/SERPINA7 Antibody (R2Z30) (RHC17301)
Источник (хозяин): мышь
Реактивность подтвержденная: человек
Валидировано для: ELISA, FCM, IF, IHC
Реактивность подтвержденная: человек
Валидировано для: ELISA, FCM, IF, IHC
Recombinant Chromodomain Helicase DNA Binding Protein 4 (CHD4) (RPD202Mu02)
Источник (хозяин): E.coli
Организм: мышь
Теги: N-концевой His-Tag
Биоактивность: нет
Организм: мышь
Теги: N-концевой His-Tag
Биоактивность: нет
Polyclonal Antibody to Monocyte Chemotactic Protein 1 (MCP1) (PAA087Bo01)
Источник (хозяин): кролик
Реактивность подтвержденная: корова
Валидировано для: ICC, IHC, WB
Реактивность подтвержденная: корова
Валидировано для: ICC, IHC, WB

