| UNIPROT | O15119 |
Anti-TBX3 Antibody (R2U39) (RHA42003)
Реактивность подтвержденная:
человек
Источник (хозяин):
мышь
Валидировано для:
IHC
WB
Характеристики
Техническое описание
| Русское название | RHA42003 Моноклональное антитело к TBX3 (R2U39) <AntibodySystem,Китай> |
| Каталожный номер | RHA42003 |
| Название антигена | T-Box Protein 3 (TBX3) |
| UNIPROT | O15119 |
| Английские синонимы | TBX3-ISO, UMS, XHL, Ulnar Mammary Syndrome |
Реактивность подтвержденная Нужна другая реактивность? |
человек |
| Источник (хозяин) | мышь |
| Изотип | IgG2a |
| Клональность | моноклональное |
| Клон | R2U39 |
| Рекомбинантное | да |
| Готовое к использованию | нет |
| Концентрация | 1 мг/мл |
| Конъюгат | нет |
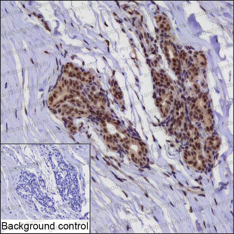
| Валидировано для | IHC WB Иммуногистохимия; Вестерн-блоттинг |
| Рекомендуемые разведения | IHC: 1:100-1:200, WB: 1:500-1:1000 |
| Метод очистки | Очистка с белками A/G из супернатанта клеточной культуры |
| Чистота | >95% |
| Состав буфера | 0.01M PBS, pH 7.4, 0.05% натрия азид |
| Условия доставки | термобокс с аккумуляторами холода |
| Условия хранения | Хранить при 4°C не более 1-2 недель. Хранить при -20°C - 12 месяцев |
| Срок хранения | 12 месяцев |
| Производитель | AntibodySystem |
| Ссылка на страницу товара на сайте производителя | https://www.antibodysystem.com/product/34127.html |
|
Артикул
|
Наименование |
Производитель
|
|---|
|
Артикул
|
Наименование |
Производитель
|
|---|
|
Артикул
|
Наименование |
Производитель
|
|---|
|
Артикул
|
Наименование |
Производитель
|
|---|
|
Артикул
|
Наименование |
Производитель
|
|---|
Акции и предложения
Популярные продукты:
Monkey Phosphoglycee kinase 2(PGK2) ELISA kit (E09P0843)
Организм: обезьяна
Monkey Claudin 3(CLDN3) ELISA kit (E09C0987)
Организм: обезьяна
Human Claudin 3(CLDN3) ELISA kit (E01C0987)
Организм: человек
Диапазон определения: 1-25 нг/мл
Чувствительность: 0.1 нг/мл
Диапазон определения: 1-25 нг/мл
Чувствительность: 0.1 нг/мл
Chicken Claudin 2(CLDN2) ELISA kit (E12C0983)
Организм: курица
Guinea Pig Apoptosis inhibitor 5(API5) ELISA kit (E05A1590)
Организм: морская свинка
Human Early B-Cell Factor 3 ELISA kit (E01E0214)
Организм: человек

