| UNIPROT | P04637 |
Anti-TP53/p53 Antibody (R2Y84) (RHC10011)
Реактивность подтвержденная:
человек, мышь, крыса
Источник (хозяин):
мышь
Валидировано для:
IHC
Характеристики
Техническое описание
| Русское название | RHC10011 Моноклональное антитело к TP53/p53 (R2Y84) <AntibodySystem,Китай> |
| Каталожный номер | RHC10011 |
| Название антигена | Tumor Protein p53 (TP53) |
| UNIPROT | P04637 |
| Английские синонимы | p53, LFS1, TRP53, Li-Fraumeni Syndrome, Cellular tumor antigen p53, Antigen NY-CO-13, Phosphoprotein p53, Tumor suppressor p53 |
| Русские синонимы | белок p53, Клеточный опухолевый антиген p53, Опухолевый супрессор p53, Фосфопротеин p53, Антиген NY-CO-13 |
Реактивность подтвержденная Нужна другая реактивность? |
человек, мышь, крыса |
| Источник (хозяин) | мышь |
| Изотип | IgG1 |
| Клональность | моноклональное |
| Клон | R2Y84 |
| Рекомбинантное | да |
| Готовое к использованию | нет |
| Концентрация | 1 мг/мл |
| Конъюгат | нет |
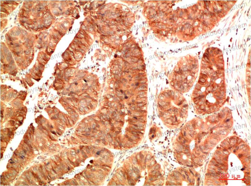
| Валидировано для | IHC Иммуногистохимия |
| Рекомендуемые разведения | IHC: 1:50-1:100 |
| Метод очистки | Очистка с белками A/G из супернатанта клеточной культуры |
| Чистота | >95% |
| Состав буфера | 0.01M PBS, pH 7.4, 0.5% БСА, 0.05% натрия азид,50% глицерин |
| Условия доставки | термобокс с аккумуляторами холода |
| Условия хранения | Хранить при 4°C не более 1-2 недель. Хранить при -20°C - 12 месяцев |
| Срок хранения | 12 месяцев |
| Производитель | AntibodySystem |
| Ссылка на страницу товара на сайте производителя | https://www.antibodysystem.com/product/34568.html |
|
Артикул
|
Наименование |
Производитель
|
|---|
|
Артикул
|
Наименование |
Производитель
|
|---|
|
Артикул
|
Наименование |
Производитель
|
|---|
|
Артикул
|
Наименование |
Производитель
|
|---|
|
Артикул
|
Наименование |
Производитель
|
|---|
|
Артикул
|
Наименование |
Производитель
|
|---|
|
Артикул
|
Наименование |
Производитель
|
|---|
|
Артикул
|
Наименование |
Производитель
|
|---|
Акции и предложения
Популярные продукты:
CLIA Kit for Cathepsin K (CTSK) (SCA267Mu)
Организм: мышь
Диапазон определения: 5.49-4,000 пг/мл
Чувствительность: 0.53 мкг/мл
Диапазон определения: 5.49-4,000 пг/мл
Чувствительность: 0.53 мкг/мл
Human Neuropeptide Y receptor type 1(NPY1R) ELISA kit (E01N0559)
Организм: человек
Диапазон определения: 1-25 нг/мл
Чувствительность: 0.1 нг/мл
Диапазон определения: 1-25 нг/мл
Чувствительность: 0.1 нг/мл
Rat Caspase 2 ELISA kit (E02C0097)
Организм: крыса
Recombinant Human FGF-7/KGF Protein (PKSH032444)
Источник (хозяин): E.coli
Организм: человек
Фрагмент: Cys32-Thr194
Теги: без тега
Биоактивность: нет
Организм: человек
Фрагмент: Cys32-Thr194
Теги: без тега
Биоактивность: нет
Anti-Human WNT7A Polyclonal Antibody (PHA18801)
Источник (хозяин): кролик
Реактивность подтвержденная: человек
Валидировано для: ELISA, IHC, WB
Реактивность подтвержденная: человек
Валидировано для: ELISA, IHC, WB

