| UNIPROT | Q13641 |
Anti-TPBG/5T4 Antibody (R2E88) (RHG62602)
Реактивность подтвержденная:
человек
Источник (хозяин):
кролик
Валидировано для:
IHC
WB
Характеристики
Техническое описание
| Русское название | RHG62602 Моноклональное антитело к TPBG/5T4 (R2E88) <AntibodySystem,Китай> |
| Каталожный номер | RHG62602 |
| Название антигена | Trophoblast Glycoprotein (TPBG) |
| UNIPROT | Q13641 |
| Английские синонимы | 5T4-AG, M6P1, WAIF1, 5T4 oncofetal trophoblast glycoprotein, Wnt-activated inhibitory factor 1 |
Реактивность подтвержденная Нужна другая реактивность? |
человек |
| Источник (хозяин) | кролик |
| Изотип | IgG |
| Клональность | моноклональное |
| Клон | R2E88 |
| Рекомбинантное | да |
| Готовое к использованию | нет |
| Концентрация | 1 мг/мл |
| Конъюгат | нет |
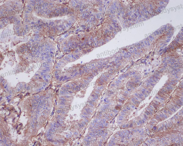
| Валидировано для | IHC WB Иммуногистохимия; Вестерн-блоттинг |
| Рекомендуемые разведения | IHC: 1:100-1:200, WB: 1:1000-1:2000 |
| Метод очистки | Очистка с белками A/G из супернатанта клеточной культуры |
| Чистота | >95% |
| Состав буфера | 0.01M PBS, pH 7.4, 0.05% БСА, 50% глицерин, 0.05% азид натрия |
| Условия доставки | термобокс с аккумуляторами холода |
| Условия хранения | Хранить при -20 С -12 месяцев |
| Срок хранения | 12 месяцев |
| Производитель | AntibodySystem |
| Ссылка на страницу товара на сайте производителя | https://www.antibodysystem.com/product/32513.html |
|
Артикул
|
Наименование |
Производитель
|
|---|
|
Артикул
|
Наименование |
Производитель
|
|---|
|
Артикул
|
Наименование |
Производитель
|
|---|
|
Артикул
|
Наименование |
Производитель
|
|---|
|
Артикул
|
Наименование |
Производитель
|
|---|
Акции и предложения
Популярные продукты:
Monkey Alpha mannosidase 2(MAN2A1) ELISA kit (E09A1903)
Организм: обезьяна
ELISA Kit DIY Materials for Interleukin 22 (IL22) (KSC032Ra01)
Организм: крыса
Диапазон определения: 15.6-1000 пг/мл
Чувствительность: 6.0 пг/мл
Диапазон определения: 15.6-1000 пг/мл
Чувствительность: 6.0 пг/мл
ELISA Kit DIY Materials for Interleukin 13 (IL13) (KSA060Bo01)
Организм: корова
Диапазон определения: 15.6-1000 пг/мл
Чувствительность: 6.5 пг/мл
Диапазон определения: 15.6-1000 пг/мл
Чувствительность: 6.5 пг/мл
ELISA Kit DIY Materials for Interleukin 24 (IL24) (KSC064Hu01)
Организм: человек
Диапазон определения: 15.6-1000 пг/мл
Чувствительность: 6.3 пг/мл
Диапазон определения: 15.6-1000 пг/мл
Чувствительность: 6.3 пг/мл
ELISA Kit DIY Materials for Involucrin (INV) (KSB331Hu01)
Организм: человек
Диапазон определения: 0.312-20 нг/мл
Чувствительность: 0.121 нг/мл
Диапазон определения: 0.312-20 нг/мл
Чувствительность: 0.121 нг/мл
Monoclonal Antibody to Left/Right Determination Factor 1 (LEFTY1) (MAC175Hu23)
Источник (хозяин): мышь
Реактивность подтвержденная: человек
Валидировано для: ICC, IF
Реактивность подтвержденная: человек
Валидировано для: ICC, IF

