| UNIPROT | Q9BWF2 |
Anti-TRAIP Antibody (R3Z18) (RHK59901)
Реактивность подтвержденная:
человек
Источник (хозяин):
мышь
Валидировано для:
IHC
Характеристики
Техническое описание
| Русское название | RHK59901 Моноклональное антитело к TRAIP (R3Z18) <AntibodySystem,Китай> |
| Каталожный номер | RHK59901 |
| Название антигена | TRAF Interacting Protein (TRAIP) |
| UNIPROT | Q9BWF2 |
| Английские синонимы | TRIP, RNF206, Ring Finger Protein 206, E3 ubiquitin-protein ligase TRAIP |
Реактивность подтвержденная Нужна другая реактивность? |
человек |
| Источник (хозяин) | мышь |
| Изотип | IgG2a |
| Клональность | моноклональное |
| Клон | R3Z18 |
| Рекомбинантное | да |
| Готовое к использованию | нет |
| Концентрация | 1 мг/мл |
| Конъюгат | нет |
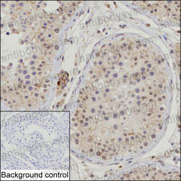
| Валидировано для | IHC Иммуногистохимия |
| Рекомендуемые разведения | IHC: 1:100-1:200 |
| Метод очистки | Очистка с белками A/G из супернатанта клеточной культуры |
| Чистота | >95% |
| Состав буфера | 0.01M PBS, pH 7.4, 0.05% натрия азид |
| Условия хранения | Хранить при 4°C не более 1-2 недель. Хранить при -20°C - 12 месяцев |
| Срок хранения | 12 месяцев |
| Производитель | AntibodySystem |
| Ссылка на страницу товара на сайте производителя | https://www.antibodysystem.com/product/36976.html |
|
Артикул
|
Наименование |
Производитель
|
|---|
|
Артикул
|
Наименование |
Производитель
|
|---|
Акции и предложения
Популярные продукты:
Recombinant Human ACE2 Protein (mFc Tag) (PKSR030509)
Источник (хозяин): HEK293
Организм: человек
Фрагмент: Met1-Ser740
Теги: C-mFc
Биоактивность: да
Организм: человек
Фрагмент: Met1-Ser740
Теги: C-mFc
Биоактивность: да
Recombinant Human ACE2 Protein (mFc Tag) (PKSR030494)
Источник (хозяин): HEK293
Организм: человек
Фрагмент: Gln18-Ser740
Теги: C-mFc
Биоактивность: да
Организм: человек
Фрагмент: Gln18-Ser740
Теги: C-mFc
Биоактивность: да
Recombinant Human ACE2 Protein (His Tag) (PKSR030510)
Источник (хозяин): клетки насекомых
Организм: человек
Фрагмент: Met1-Ser740
Теги: C-His
Биоактивность: да
Организм: человек
Фрагмент: Met1-Ser740
Теги: C-His
Биоактивность: да
Recombinant Human ACE2 Protein(Sumo Tag) (PDEH100506)
Источник (хозяин): E.coli
Организм: человек
Фрагмент: Leu392-Ser740
Теги: N-Sumo
Биоактивность: нет
Организм: человек
Фрагмент: Leu392-Ser740
Теги: N-Sumo
Биоактивность: нет
Recombinant Human CD66a/CEACAM1 Protein, N-His (YHD00201)
Источник (хозяин): E.coli
Организм: человек
Фрагмент: Gln35-Glu320
Теги: N-His
Биоактивность: нет
Организм: человек
Фрагмент: Gln35-Glu320
Теги: N-His
Биоактивность: нет

