| UNIPROT | Q9C035 |
Anti-TRIM5 Antibody (R4A70) (RHN90601)
Реактивность подтвержденная:
человек
Источник (хозяин):
мышь
Валидировано для:
IHC
WB
Характеристики
Техническое описание
| Русское название | RHN90601 Моноклональное антитело к TRIM5 (R4A70) <AntibodySystem,Китай> |
| Каталожный номер | RHN90601 |
| Название антигена | Tripartite Motif Containing Protein 5 (TRIM5) |
| UNIPROT | Q9C035 |
| Английские синонимы | TRIM5α, TRIM5alpha, TRIM5-alpha, RNF88, RING finger protein 88 |
Реактивность подтвержденная Нужна другая реактивность? |
человек |
| Источник (хозяин) | мышь |
| Изотип | IgG1 |
| Клональность | моноклональное |
| Клон | R4A70 |
| Рекомбинантное | да |
| Готовое к использованию | нет |
| Концентрация | 1 мг/мл |
| Конъюгат | нет |
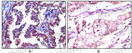
| Валидировано для | IHC WB Иммуногистохимия; Вестерн-блоттинг |
| Рекомендуемые разведения | IHC: 1:200-1:1000, WB: 1:500-1:2000 |
| Метод очистки | Очистка с белками A/G из супернатанта клеточной культуры |
| Чистота | >95% |
| Состав буфера | 0.01M PBS, pH 7.4, 0.05% натрия азид |
| Условия хранения | Хранить при 4°C не более 1-2 недель. Хранить при -20°C - 12 месяцев |
| Срок хранения | 12 месяцев |
| Производитель | AntibodySystem |
| Ссылка на страницу товара на сайте производителя | https://www.antibodysystem.com/product/37127.html |
|
Артикул
|
Наименование |
Производитель
|
|---|
|
Артикул
|
Наименование |
Производитель
|
|---|
Акции и предложения
Популярные продукты:
DNPEP Mouse Monoclonal Antibody (BF9546)
Источник (хозяин): мышь
Реактивность подтвержденная: человек
Валидировано для: WB
Реактивность подтвержденная: человек
Валидировано для: WB
InVivo MAb Anti-Mouse CXCL13/BCA-1/BLC Antibody (FS0310) (VMA82503)
Источник (хозяин): мышь
Реактивность подтвержденная: мышь
Валидировано для: ELISA, NEUT
Реактивность подтвержденная: мышь
Валидировано для: ELISA, NEUT
ELISA Kit DIY Materials for Integrin Beta 1 (ITGb1) (KSB042Mu01)
Организм: мышь
Диапазон определения: 0.312-20 нг/мл
Чувствительность: 0.116 нг/мл
Диапазон определения: 0.312-20 нг/мл
Чувствительность: 0.116 нг/мл
Chicken GTPase NRas(NRAS) ELISA kit (E12G0453)
Организм: курица
Bovine CTD Phosphatase 1 ELISA kit (E11C0049)
Организм: корова

