| UNIPROT | P23258 |
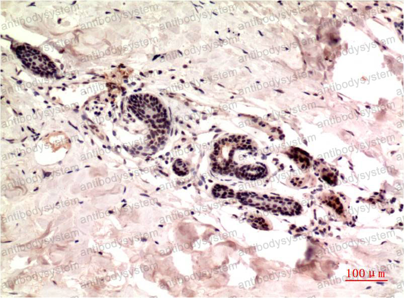
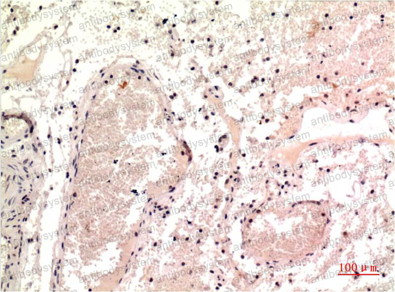
Anti-TUBG1 Antibody (R3G27) (RHD56204)
Реактивность подтвержденная:
человек
Источник (хозяин):
мышь
Валидировано для:
IHC
Характеристики
Техническое описание
| Русское название | RHD56204 Моноклональное антитело к TUBG1 (R3G27) <AntibodySystem,Китай> |
| Каталожный номер | RHD56204 |
| Название антигена | Tubulin Gamma 1 (TUBg1) |
| UNIPROT | P23258 |
| Английские синонимы | TUBGCP1, GCP-1, Gamma-tubulin complex component 1 |
Реактивность подтвержденная Нужна другая реактивность? |
человек |
| Источник (хозяин) | мышь |
| Изотип | IgG1 |
| Клональность | моноклональное |
| Клон | R3G27 |
| Рекомбинантное | да |
| Готовое к использованию | нет |
| Концентрация | 1 мг/мл |
| Конъюгат | нет |
| Валидировано для | IHC Иммуногистохимия |
| Рекомендуемые разведения | IHC: 1:50-1:100 |
| Метод очистки | Очистка с белками A/G из супернатанта клеточной культуры |
| Чистота | >95% |
| Состав буфера | 0.01M PBS, pH 7.4, 0.5% БСА, 0.05% натрия азид,50% глицерин |
| Условия хранения | Хранить при 4°C не более 1-2 недель. Хранить при -20°C - 12 месяцев |
| Срок хранения | 12 месяцев |
| Производитель | AntibodySystem |
| Ссылка на страницу товара на сайте производителя | https://www.antibodysystem.com/product/35303.html |
|
Артикул
|
Наименование |
Производитель
|
|---|
|
Артикул
|
Наименование |
Производитель
|
|---|
|
Артикул
|
Наименование |
Производитель
|
|---|
|
Артикул
|
Наименование |
Производитель
|
|---|
|
Артикул
|
Наименование |
Производитель
|
|---|
Акции и предложения
Популярные продукты:
Monoclonal Antibody to Annexin A3 (ANXA3) (MAE786Hu28)
Источник (хозяин): мышь
Реактивность подтвержденная: человек
Валидировано для: WB
Реактивность подтвержденная: человек
Валидировано для: WB
Chicken Phosphoenolpyruvic acid (PEP) ELISA kit (E12P1086)
Организм: курица
Canine Astrotactin 2(ASTN2) ELISA kit (E08A1734)
Организм: собака
Chicken cystathionine β synthase(CBS) ELISA kit (E12C1414)
Организм: курица
Guinea Pig Cystatin S(CST4) ELISA kit (E05C2123)
Организм: морская свинка

