| UNIPROT | O00762 |
Anti-UBE2C Antibody (R2T65) (RHA19002)
Реактивность подтвержденная:
человек
Источник (хозяин):
мышь
Валидировано для:
ELISA
IHC
WB
Характеристики
Техническое описание
| Русское название | RHA19002 Моноклональное антитело к UBE2C (R2T65) <AntibodySystem,Китай> |
| Каталожный номер | RHA19002 |
| Название антигена | Ubiquitin Conjugating Enzyme E2C (UBE2C) |
| UNIPROT | O00762 |
| Английские синонимы | UBCH10, Ubiquitin carrier protein C, Ubiquitin-protein ligase C |
Реактивность подтвержденная Нужна другая реактивность? |
человек |
| Источник (хозяин) | мышь |
| Изотип | IgG2a |
| Клональность | моноклональное |
| Клон | R2T65 |
| Рекомбинантное | да |
| Готовое к использованию | нет |
| Концентрация | 1 мг/мл |
| Конъюгат | нет |
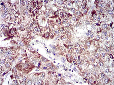
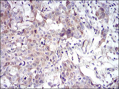
| Валидировано для | ELISA IHC WB Иммуноферментный анализ; Иммуногистохимия; Вестерн-блоттинг |
| Рекомендуемые разведения | ELISA: 1:10000, IHC: 1:200-1:1000, WB: 1:500-1:2000 |
| Метод очистки | Очистка с белками A/G из супернатанта клеточной культуры |
| Чистота | >95% |
| Состав буфера | 0.01M PBS, pH 7.4, 0.05% натрия азид |
| Условия доставки | термобокс с аккумуляторами холода |
| Условия хранения | Хранить при 4°C не более 1-2 недель. Хранить при -20°C - 12 месяцев |
| Срок хранения | 12 месяцев |
| Производитель | AntibodySystem |
| Ссылка на страницу товара на сайте производителя | https://www.antibodysystem.com/product/34054.html |
|
Артикул
|
Наименование |
Производитель
|
|---|
|
Артикул
|
Наименование |
Производитель
|
|---|
Акции и предложения
Популярные продукты:
HPV16 E7/Protein E7 ELISA Kit (KVV08902)
Организм: вирусы
Диапазон определения: 15.63 - 1,000 пг/мл
Чувствительность: 8.98 пг/мл
Диапазон определения: 15.63 - 1,000 пг/мл
Чувствительность: 8.98 пг/мл
ELISA Kit DIY Materials for Claudin 1 (CLDN1) (KSC388Hu01)
Организм: человек
Диапазон определения: 0.156-10 нг/мл
Чувствительность: 0.061 нг/мл
Диапазон определения: 0.156-10 нг/мл
Чувствительность: 0.061 нг/мл
Monoclonal Antibody to Myelin Basic Protein (MBP) (MAA539Hu24)
Источник (хозяин): мышь
Реактивность подтвержденная: человек
Валидировано для: ICC, IF
Реактивность подтвержденная: человек
Валидировано для: ICC, IF
Monkey Phosphatidylinositol 3 kinase ELISA kit (E09P0185)
Организм: обезьяна
Canine Cholesterol 25 hydroxylase(CH25H) ELISA kit (E08C1649)
Организм: собака

