| UNIPROT | P63279 |
Anti-UBE2I/UBC9 Antibody (R3P34) (RHF60802)
Реактивность подтвержденная:
человек, обезьяна
Источник (хозяин):
мышь
Валидировано для:
ELISA
FCM
IF
IHC
WB
Характеристики
Техническое описание
| Русское название | RHF60802 Моноклональное антитело к UBE2I/UBC9 (R3P34) <AntibodySystem,Китай> |
| Каталожный номер | RHF60802 |
| Название антигена | Ubiquitin Conjugating Enzyme E2I (UBE2I) |
| UNIPROT | P63279 |
| Английские синонимы | P18, UBC9, UBCE9, SUMO-protein ligase, Ubiquitin carrier protein 9, Ubiquitin carrier protein I, Ubiquitin-protein ligase I, SUMO-conjugating enzyme UBC9 |
Реактивность подтвержденная Нужна другая реактивность? |
человек, обезьяна |
| Источник (хозяин) | мышь |
| Изотип | IgG1 |
| Клональность | моноклональное |
| Клон | R3P34 |
| Рекомбинантное | да |
| Готовое к использованию | нет |
| Концентрация | 1 мг/мл |
| Конъюгат | нет |
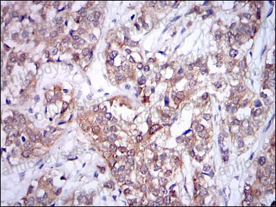
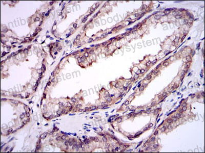
| Валидировано для | ELISA FCM IF IHC WB Иммуноферментный анализ; Проточная цитометрия; Иммунофлуоресценция; Иммуногистохимия; Вестерн-блоттинг |
| Рекомендуемые разведения | ELISA: 1:10000, FCM: 1:200-1:400, IF: 1:200-1:1000, IHC: 1:200-1:1000, WB: 1:500-1:2000 |
| Метод очистки | Очистка с белками A/G из супернатанта клеточной культуры |
| Чистота | >95% |
| Состав буфера | 0.01M PBS, pH 7.4, 0.05% натрия азид |
| Условия хранения | Хранить при 4°C не более 1-2 недель. Хранить при -20°C - 12 месяцев |
| Срок хранения | 12 месяцев |
| Производитель | AntibodySystem |
| Ссылка на страницу товара на сайте производителя | https://www.antibodysystem.com/product/36003.html |
|
Артикул
|
Наименование |
Производитель
|
|---|
|
Артикул
|
Наименование |
Производитель
|
|---|
Акции и предложения
Популярные продукты:
Polyclonal Antibody to Serglycin (SRGN) (PAC869Hu08)
Источник (хозяин): кролик
Реактивность подтвержденная: человек
Валидировано для: ICC, IF
Реактивность подтвержденная: человек
Валидировано для: ICC, IF
Monoclonal Antibody to Ly1 Antibody Reactive Homolog (LYAR) (MAR532Hu21)
Источник (хозяин): мышь
Реактивность подтвержденная: человек
Валидировано для: WB
Реактивность подтвержденная: человек
Валидировано для: WB
Monkey ATP dependent RNA helicase DHX8(DHX8) ELISA kit (E09A1842)
Организм: обезьяна
Monkey Choline phosphate cytidylyltransferase A(PCYT1A) ELISA kit (E09C2377)
Организм: обезьяна
Canine COUP transcription factor 1(NR2F1) ELISA kit (E08C2364)
Организм: собака
Sheep Cyclin L1(CCNL1) ELISA kit (E14C1167)
Организм: овца

