| UNIPROT | Q92890 |
Anti-UFD1 Antibody (R3Z02) (RHK46902)
Реактивность подтвержденная:
человек
Источник (хозяин):
мышь
Валидировано для:
ELISA
FCM
IF
IHC
WB
Характеристики
Техническое описание
| Русское название | RHK46902 Моноклональное антитело к UFD1 (R3Z02) <AntibodySystem,Китай> |
| Каталожный номер | RHK46902 |
| Название антигена | Ubiquitin Fusion Degradation 1 Like Protein (UFD1L) |
| UNIPROT | Q92890 |
| Английские синонимы | UFD1 |
Реактивность подтвержденная Нужна другая реактивность? |
человек |
| Источник (хозяин) | мышь |
| Изотип | IgG2b |
| Клональность | моноклональное |
| Клон | R3Z02 |
| Рекомбинантное | да |
| Готовое к использованию | нет |
| Концентрация | 1 мг/мл |
| Конъюгат | нет |
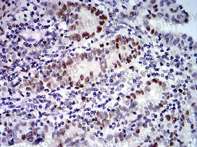
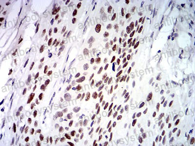
| Валидировано для | ELISA FCM IF IHC WB Иммуноферментный анализ; Проточная цитометрия; Иммунофлуоресценция; Иммуногистохимия; Вестерн-блоттинг |
| Рекомендуемые разведения | ELISA: 1:10000, FCM: 1:200-1:400, IF: 1:200-1:1000, IHC: 1:200-1:1000, WB: 1:500-1:2000 |
| Метод очистки | Очистка с белками A/G из супернатанта клеточной культуры |
| Чистота | >95% |
| Состав буфера | 0.01M PBS, pH 7.4, 0.05% натрия азид |
| Условия хранения | Хранить при 4°C не более 1-2 недель. Хранить при -20°C - 12 месяцев |
| Срок хранения | 12 месяцев |
| Производитель | AntibodySystem |
| Ссылка на страницу товара на сайте производителя | https://www.antibodysystem.com/product/36960.html |
|
Артикул
|
Наименование |
Производитель
|
|---|
|
Артикул
|
Наименование |
Производитель
|
|---|
Акции и предложения
Популярные продукты:
Human Amylase Alpha 2,Pancreatic ELISA kit (E01A0475)
Организм: человек
Диапазон определения: 50-1000 пг/мл
Чувствительность: 0.1 нг/мл
Диапазон определения: 50-1000 пг/мл
Чувствительность: 0.1 нг/мл
Chicken Pancreatic Polypeptide ELISA kit (E12P0134)
Организм: курица
Goat Alanine Aminotransferase ELISA kit (E06A0388)
Организм: коза
Anti-AZT/Aztreonam Antibody (SAA0566) (RGK33201)
Источник (хозяин): человек
Реактивность подтвержденная: для всех
Валидировано для: ELISA
Реактивность подтвержденная: для всех
Валидировано для: ELISA
Recombinant Human RFWD3 Protein, N-His (YHK58401)
Источник (хозяин): E.coli
Организм: человек
Фрагмент: Gly430-Glu774
Теги: N-His
Биоактивность: нет
Организм: человек
Фрагмент: Gly430-Glu774
Теги: N-His
Биоактивность: нет
Recombinant Human MEF2C Protein, N-His-SUMO & C-Strep (YHG08701)
Источник (хозяин): E.coli
Организм: человек
Фрагмент: Arg10-Gly95
Теги: N-His-SUMO & C-Strep
Биоактивность: нет
Организм: человек
Фрагмент: Arg10-Gly95
Теги: N-His-SUMO & C-Strep
Биоактивность: нет

