| UNIPROT | Q6PHR2 |
Anti-ULK3 Antibody (R4A54) (RHN87402)
Реактивность подтвержденная:
человек, крыса
Источник (хозяин):
мышь
Валидировано для:
FCM
IF
IHC
WB
Характеристики
Техническое описание
| Русское название | RHN87402 Моноклональное антитело к ULK3 (R4A54) <AntibodySystem,Китай> |
| Каталожный номер | RHN87402 |
| Название антигена | Unc-51 Like Kinase 3 (ULK3) |
| UNIPROT | Q6PHR2 |
| Английские синонимы | Serine/threonine-protein kinase ULK3 |
Реактивность подтвержденная Нужна другая реактивность? |
человек, крыса |
| Источник (хозяин) | мышь |
| Изотип | IgG1 |
| Клональность | моноклональное |
| Клон | R4A54 |
| Рекомбинантное | да |
| Готовое к использованию | нет |
| Концентрация | 1 мг/мл |
| Конъюгат | нет |
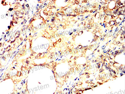
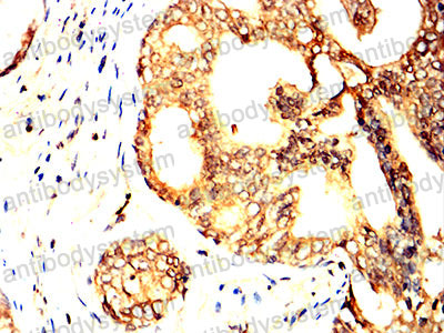
| Валидировано для | FCM IF IHC WB Проточная цитометрия; Иммунофлуоресценция; Иммуногистохимия; Вестерн-блоттинг |
| Рекомендуемые разведения | FCM: 1:200-1:400, IF: 1:50-1:200, IHC: 1:200-1:1000, WB: 1:500-1:2000 |
| Метод очистки | Очистка с белками A/G из супернатанта клеточной культуры |
| Чистота | >95% |
| Состав буфера | 0.01M PBS, pH 7.4, 0.05% натрия азид |
| Условия хранения | Хранить при 4°C не более 1-2 недель. Хранить при -20°C - 12 месяцев |
| Срок хранения | 12 месяцев |
| Производитель | AntibodySystem |
| Ссылка на страницу товара на сайте производителя | https://www.antibodysystem.com/product/37111.html |
|
Артикул
|
Наименование |
Производитель
|
|---|
|
Артикул
|
Наименование |
Производитель
|
|---|
Акции и предложения
Популярные продукты:
Human pregnancy specific glycoprotein 9 ELISA kit (E01P1062)
Организм: человек
Sheep Stromelysin 1 ELISA kit (E14S0289)
Организм: овца
Rat Corneodesmosin ELISA kit (E02C0406)
Организм: крыса
Canine Antithrombin III(AT III) ELISA kit (E08A1970)
Организм: собака
Chicken Acylphosphatase 2(ACYP2) ELISA kit (E12A1238)
Организм: курица
Bovine Acylphosphatase 2(ACYP2) ELISA kit (E11A1238)
Организм: корова

