| UNIPROT | Q9Y6N9 |
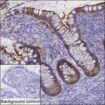
Anti-USH1C Antibody (R4C29) (RHP00701)
Реактивность подтвержденная:
человек
Источник (хозяин):
мышь
Валидировано для:
IHC
WB
Характеристики
Техническое описание
| Русское название | RHP00701 Моноклональное антитело к USH1C (R4C29) <AntibodySystem,Китай> |
| Каталожный номер | RHP00701 |
| Название антигена | Usher Syndrome Protein 1C (USH1C) |
| UNIPROT | Q9Y6N9 |
| Английские синонимы | AIE-75, DFNB18, NY-CO-37, PDZ-45, PDZ-73, PDZ-73/NY-CO-38, PDZ73, Ush1cpst, Harmonin, Deafness,Autosomal Recessive 18, Autoimmune enteropathy-related antigen AIE-75 |
Реактивность подтвержденная Нужна другая реактивность? |
человек |
| Источник (хозяин) | мышь |
| Изотип | IgG1 |
| Клональность | моноклональное |
| Клон | R4C29 |
| Рекомбинантное | да |
| Готовое к использованию | нет |
| Концентрация | 1 мг/мл |
| Конъюгат | нет |
| Валидировано для | IHC WB Иммуногистохимия; Вестерн-блоттинг |
| Рекомендуемые разведения | IHC: 1:500-1:1000, WB: 1:500-1:1000 |
| Метод очистки | Очистка с белками A/G из супернатанта клеточной культуры |
| Чистота | >95% |
| Состав буфера | 0.01M PBS, pH 7.4, 0.05% натрия азид |
| Условия хранения | Хранить при 4°C не более 1-2 недель. Хранить при -20°C - 12 месяцев |
| Срок хранения | 12 месяцев |
| Производитель | AntibodySystem |
| Ссылка на страницу товара на сайте производителя | https://www.antibodysystem.com/product/37284.html |
|
Артикул
|
Наименование |
Производитель
|
|---|
Акции и предложения
Популярные продукты:
Anti-USH1C Antibody (R4C29) (RHP00701)
Источник (хозяин): мышь
Реактивность подтвержденная: человек
Валидировано для: IHC, WB
Реактивность подтвержденная: человек
Валидировано для: IHC, WB
PMS2 Recombinant Rabbit mAb (ARM2874)
Источник (хозяин): кролик
Реактивность подтвержденная: человек
Валидировано для: FCM, IHC, IP, WB, IF, ICC
Реактивность подтвержденная: человек
Валидировано для: FCM, IHC, IP, WB, IF, ICC
Monoclonal Antibody to Sex Determining Region Y (SRY) (MAG341Hu21)
Источник (хозяин): мышь
Реактивность подтвержденная: человек
Валидировано для: ICC, IHC, IP, WB
Реактивность подтвержденная: человек
Валидировано для: ICC, IHC, IP, WB
ELISA Kit for Tetracycline (TTC) (RK777C-Ge)
Организм: для всех
Диапазон определения: 123.5-10000 пг/мл
Чувствительность: 50.5 пг/мл
Диапазон определения: 123.5-10000 пг/мл
Чувствительность: 50.5 пг/мл
ELISA Kit for Tetracycline (TTC) (CEK777Ge)
Организм: для всех
Диапазон определения: 123.5-10000 пг/мл
Чувствительность: 50.5 пг/мл
Диапазон определения: 123.5-10000 пг/мл
Чувствительность: 50.5 пг/мл
Rabbit Anti-NeuN Antibody (SAA2241) (RHA00601)
Источник (хозяин): кролик
Реактивность подтвержденная: человек, мышь, крыса
Валидировано для: FCM, ICC, IF, IHC, WB
Реактивность подтвержденная: человек, мышь, крыса
Валидировано для: FCM, ICC, IF, IHC, WB

