| UNIPROT | Q93009 |
Anti-USP7 Antibody (R3V69) (RHJ35603)
Реактивность подтвержденная:
человек, мышь, крыса, обезьяна
Источник (хозяин):
мышь
Валидировано для:
ELISA
FCM
IF
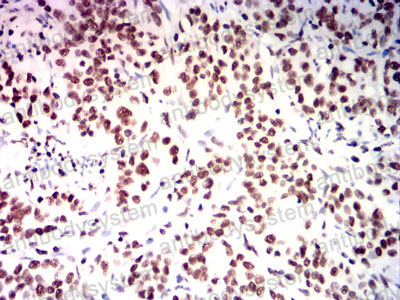
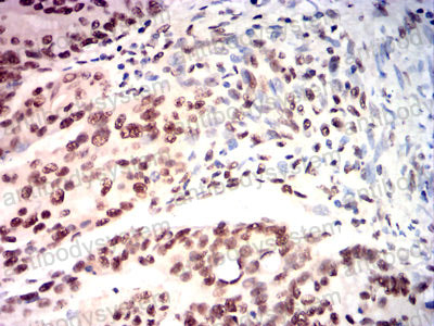
IHC
WB
Характеристики
Техническое описание
| Русское название | RHJ35603 Моноклональное антитело к USP7 (R3V69) <AntibodySystem,Китай> |
| Каталожный номер | RHJ35603 |
| Название антигена | Ubiquitin Specific Peptidase 7 (USP7) |
| UNIPROT | Q93009 |
| Английские синонимы | HAUSP, TEF1, Ubiquitin Carboxyl-Terminal Hydrolase 7, Herpesvirus-associated ubiquitin-specific protease, Deubiquitinating enzyme 7, Ubiquitin-specific-processing protease 7 |
Реактивность подтвержденная Нужна другая реактивность? |
человек, мышь, крыса, обезьяна |
| Источник (хозяин) | мышь |
| Изотип | IgG2b |
| Клональность | моноклональное |
| Клон | R3V69 |
| Рекомбинантное | да |
| Готовое к использованию | нет |
| Концентрация | 1 мг/мл |
| Конъюгат | нет |
| Валидировано для | ELISA FCM IF IHC WB Иммуноферментный анализ; Проточная цитометрия; Иммунофлуоресценция; Иммуногистохимия; Вестерн-блоттинг |
| Рекомендуемые разведения | ELISA: 1:10000, FCM: 1:200-1:400, IF: 1:200-1:1000, IHC: 1:200-1:1000, WB: 1:500-1:2000 |
| Метод очистки | Очистка с белками A/G из супернатанта клеточной культуры |
| Чистота | >95% |
| Состав буфера | 0.01M PBS, pH 7.4, 0.05% натрия азид |
| Условия хранения | Хранить при 4°C не более 1-2 недель. Хранить при -20°C - 12 месяцев |
| Срок хранения | 12 месяцев |
| Производитель | AntibodySystem |
| Ссылка на страницу товара на сайте производителя | https://www.antibodysystem.com/product/36631.html |
|
Артикул
|
Наименование |
Производитель
|
|---|
|
Артикул
|
Наименование |
Производитель
|
|---|
|
Артикул
|
Наименование |
Производитель
|
|---|
|
Артикул
|
Наименование |
Производитель
|
|---|
Акции и предложения
Популярные продукты:
ELISA Kit DIY Materials for Succinate Dehydrogenase Complex Subunit B (SDHB) (KSJ756Mu01)
Организм: мышь
Диапазон определения: 0.156-10 нг/мл
Чувствительность: 0.053 нг/мл
Диапазон определения: 0.156-10 нг/мл
Чувствительность: 0.053 нг/мл
ELISA Kit for Glypican 5 (GPC5) (SED754Mu)
Организм: мышь
Диапазон определения: 0.156-10 нг/мл
Чувствительность: 0.057 нг/мл
Диапазон определения: 0.156-10 нг/мл
Чувствительность: 0.057 нг/мл
ELISA Kit for Anti-Growth Differentiation Factor 5 Antibody (Anti-GDF5) (AEC110Hu)
Организм: человек
Диапазон определения: 3.12-200 нг/мл
Чувствительность: 0.058 нг/мл
Диапазон определения: 3.12-200 нг/мл
Чувствительность: 0.058 нг/мл

