| UNIPROT | P21796 |
Anti-VDAC1 Antibody (R1B62) (RHD47804)
Реактивность подтвержденная:
человек, мышь, крыса
Источник (хозяин):
кролик
Валидировано для:
IF
IHC
WB
Характеристики
Техническое описание
| Русское название | RHD47804 Моноклональное антитело к VDAC1 (R1B62) <AntibodySystem,Китай> |
| Каталожный номер | RHD47804 |
| Название антигена | Voltage Dependent Anion Channel Protein 1 (VDAC1) |
| UNIPROT | P21796 |
| Английские синонимы | PORIN-31-HL, Porin 31HM, Plasmalemmal porin, Outer mitochondrial membrane protein porin 1, Voltage-dependent anion-selective channel protein 1 |
Реактивность подтвержденная Нужна другая реактивность? |
человек, мышь, крыса |
| Источник (хозяин) | кролик |
| Изотип | IgG |
| Клональность | моноклональное |
| Клон | R1B62 |
| Рекомбинантное | да |
| Готовое к использованию | нет |
| Концентрация | 1 мг/мл |
| Конъюгат | нет |
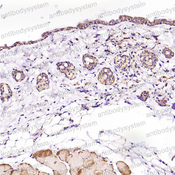
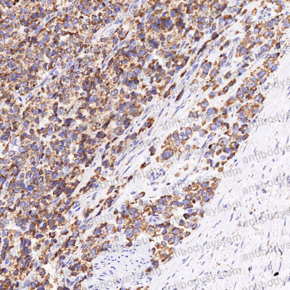
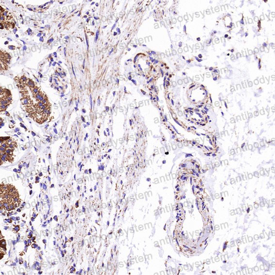
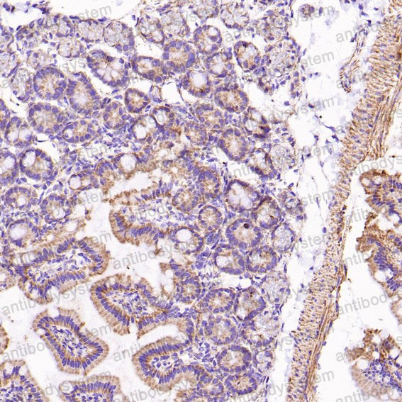
| Валидировано для | IF IHC WB Иммунофлуоресценция; Иммуногистохимия; Вестерн-блоттинг |
| Рекомендуемые разведения | IF: 1:50-1:200, IHC: 1:100-1:200, WB: 1:1000-1:2000 |
| Метод очистки | Очистка с белками A/G из супернатанта клеточной культуры |
| Чистота | >95% |
| Состав буфера | 0.01M PBS, pH 7.4, 0.05% БСА, 50% глицерин, 0.05% азид натрия |
| Условия доставки | термобокс с аккумуляторами холода |
| Условия хранения | Хранить при -20 С -12 месяцев |
| Срок хранения | 12 месяцев |
| Производитель | AntibodySystem |
| Ссылка на страницу товара на сайте производителя | https://www.antibodysystem.com/product/29767.html |
|
Артикул
|
Наименование |
Производитель
|
|---|
|
Артикул
|
Наименование |
Производитель
|
|---|
|
Артикул
|
Наименование |
Производитель
|
|---|
|
Артикул
|
Наименование |
Производитель
|
|---|
Акции и предложения
Популярные продукты:
CD3E Mouse Monoclonal Antibody (BF9361)
Источник (хозяин): мышь
Реактивность подтвержденная: человек
Валидировано для: WB
Реактивность подтвержденная: человек
Валидировано для: WB
Canine Ceramide kinase(CERK) ELISA kit (E08C1622)
Организм: собака
Guinea Pig ATP binding cassette sub family G member 4(ABCG4) ELISA kit (E05A1153)
Организм: морская свинка
Guinea Pig Gastrokine 1 ELISA kit (E05G0184)
Организм: морская свинка
Recombinant Human Siglec-10 (C-mFc) (PKSH033911)
Источник (хозяин): HEK293
Организм: человек
Фрагмент: Met17-Thr546
Теги: C-mFc
Биоактивность: да
Организм: человек
Фрагмент: Met17-Thr546
Теги: C-mFc
Биоактивность: да

