| UNIPROT | O00744 |
Anti-WNT10B Antibody (R2T64) (RHA18301)
Реактивность подтвержденная:
человек
Источник (хозяин):
мышь
Валидировано для:
IF
IHC
WB
Характеристики
Техническое описание
| Русское название | RHA18301 Моноклональное антитело к WNT10B (R2T64) <AntibodySystem,Китай> |
| Каталожный номер | RHA18301 |
| Название антигена | Wingless Type MMTV Integration Site Family, Member 10B (WNT10B) |
| UNIPROT | O00744 |
| Английские синонимы | WNT-12, SHFM6 |
Реактивность подтвержденная Нужна другая реактивность? |
человек |
| Источник (хозяин) | мышь |
| Изотип | IgG1 |
| Клональность | моноклональное |
| Клон | R2T64 |
| Рекомбинантное | да |
| Готовое к использованию | нет |
| Концентрация | 1 мг/мл |
| Конъюгат | нет |
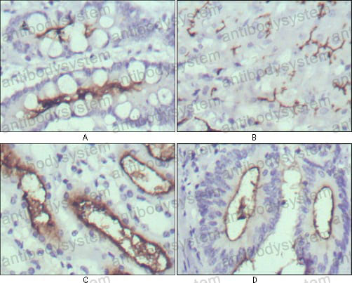
| Валидировано для | IF IHC WB Иммунофлуоресценция; Иммуногистохимия; Вестерн-блоттинг |
| Рекомендуемые разведения | IF: 1:200-1:1000, IHC: 1:200-1:1000, WB: 1:500-1:2000 |
| Метод очистки | Очистка с белками A/G из супернатанта клеточной культуры |
| Чистота | >95% |
| Состав буфера | 0.01M PBS, pH 7.4, 0.05% натрия азид |
| Условия доставки | термобокс с аккумуляторами холода |
| Условия хранения | Хранить при 4°C не более 1-2 недель. Хранить при -20°C - 12 месяцев |
| Срок хранения | 12 месяцев |
| Производитель | AntibodySystem |
| Ссылка на страницу товара на сайте производителя | https://www.antibodysystem.com/product/34053.html |
|
Артикул
|
Наименование |
Производитель
|
|---|
|
Артикул
|
Наименование |
Производитель
|
|---|
|
Артикул
|
Наименование |
Производитель
|
|---|
|
Артикул
|
Наименование |
Производитель
|
|---|
Акции и предложения
Популярные продукты:
Anti-YFV Envelope protein E Antibody (Fs0371) (RVV25706)
Источник (хозяин): мышь
Реактивность подтвержденная: вирусы
Валидировано для: ELISA, NEUT
Реактивность подтвержденная: вирусы
Валидировано для: ELISA, NEUT
Anti-Human CD124/IL4R Antibody (Fs0374) (RHD62603)
Источник (хозяин): мышь
Реактивность подтвержденная: человек
Валидировано для: ELISA, FCM
Реактивность подтвержденная: человек
Валидировано для: ELISA, FCM
ELISA Kit for Angiotensin II (AngII) (CEA005Hu)
Организм: человек
Диапазон определения: 24.69-2,000 пг/мл
Чувствительность: 0.055 нг/мл
Диапазон определения: 24.69-2,000 пг/мл
Чувствительность: 0.055 нг/мл
Rabbit Cyclin O(CCNO) ELISA kit (E04C1169)
Организм: кролик

