| UNIPROT | P18887 |
Anti-XRCC1 Antibody (R3F08) (RHD31503)
Реактивность подтвержденная:
человек, обезьяна
Источник (хозяин):
мышь
Валидировано для:
ELISA
FCM
IHC
WB
Характеристики
Техническое описание
| Русское название | RHD31503 Моноклональное антитело к XRCC1 (R3F08) <AntibodySystem,Китай> |
| Каталожный номер | RHD31503 |
| Название антигена | X-Ray Repair Cross Complementing 1 (XRCC1) |
| UNIPROT | P18887 |
| Английские синонимы | RCC, DNA repair protein XRCC1 |
Реактивность подтвержденная Нужна другая реактивность? |
человек, обезьяна |
| Источник (хозяин) | мышь |
| Изотип | IgG1 |
| Клональность | моноклональное |
| Клон | R3F08 |
| Рекомбинантное | да |
| Готовое к использованию | нет |
| Концентрация | 1 мг/мл |
| Конъюгат | нет |
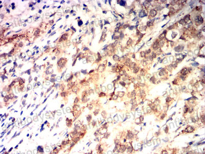
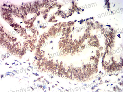
| Валидировано для | ELISA FCM IHC WB Иммуноферментный анализ; Проточная цитометрия; Иммуногистохимия; Вестерн-блоттинг |
| Рекомендуемые разведения | ELISA: 1:10000, FCM: 1:200-1:400, IHC: 1:200-1:1000, WB: 1:500-1:2000 |
| Метод очистки | Очистка с белками A/G из супернатанта клеточной культуры |
| Чистота | >95% |
| Состав буфера | 0.01M PBS, pH 7.4, 0.05% натрия азид |
| Условия доставки | термобокс с аккумуляторами холода |
| Условия хранения | Хранить при 4°C не более 1-2 недель. Хранить при -20°C - 12 месяцев |
| Срок хранения | 12 месяцев |
| Производитель | AntibodySystem |
| Ссылка на страницу товара на сайте производителя | https://www.antibodysystem.com/product/35185.html |
|
Артикул
|
Наименование |
Производитель
|
|---|
|
Артикул
|
Наименование |
Производитель
|
|---|
|
Артикул
|
Наименование |
Производитель
|
|---|
|
Артикул
|
Наименование |
Производитель
|
|---|
|
Артикул
|
Наименование |
Производитель
|
|---|
Акции и предложения
Популярные продукты:
ELISA Kit for Myosin Light Chain 3, Alkali, Ventricular, Slow Skeletal (MYL3) (SED425Ra)
Организм: крыса
Диапазон определения: 0.156-10 нг/мл
Чувствительность: 0.113 нг/мл
Диапазон определения: 0.156-10 нг/мл
Чувствительность: 0.113 нг/мл
Mouse Total Adiponectin ELISA kit (E03A0125)
Организм: мышь
Диапазон определения: 1-25 нг/мл
Чувствительность: 0.1 нг/мл
Диапазон определения: 1-25 нг/мл
Чувствительность: 0.1 нг/мл
Guinea Pig Anoctamin 1(ANO1) ELISA kit (E05A1526)
Организм: морская свинка
Диапазон определения: 5-100 нг/мл
Чувствительность: 1 нг/мл
Диапазон определения: 5-100 нг/мл
Чувствительность: 1 нг/мл
Anti-PDCoV NSP10/GFL Polyclonal Antibody (PVV43506)
Источник (хозяин): кролик
Реактивность подтвержденная: вирусы
Валидировано для: ELISA, IHC, WB
Реактивность подтвержденная: вирусы
Валидировано для: ELISA, IHC, WB

