| UNIPROT | Q9H0D6 |
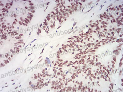
Anti-XRN2 Antibody (R3Z37) (RHK75501)
Реактивность подтвержденная:
человек
Источник (хозяин):
мышь
Валидировано для:
ELISA
IHC
WB
Характеристики
Техническое описание
| Русское название | RHK75501 Моноклональное антитело к XRN2 (R3Z37) <AntibodySystem,Китай> |
| Каталожный номер | RHK75501 |
| Название антигена | 5"-3"Exoribonuclease 2 (XRN2) |
| UNIPROT | Q9H0D6 |
| Английские синонимы | Exoribonuclease II, DHM1-like protein, DHP protein |
Реактивность подтвержденная Нужна другая реактивность? |
человек |
| Источник (хозяин) | мышь |
| Изотип | IgG1 |
| Клональность | моноклональное |
| Клон | R3Z37 |
| Рекомбинантное | да |
| Готовое к использованию | нет |
| Концентрация | 1 мг/мл |
| Конъюгат | нет |
| Валидировано для | ELISA IHC WB Иммуноферментный анализ; Иммуногистохимия; Вестерн-блоттинг |
| Рекомендуемые разведения | ELISA: 1:10000, IHC: 1:200-1:1000, WB: 1:500-1:2000 |
| Метод очистки | Очистка с белками A/G из супернатанта клеточной культуры |
| Чистота | >95% |
| Состав буфера | 0.01M PBS, pH 7.4, 0.05% натрия азид |
| Условия хранения | Хранить при 4°C не более 1-2 недель. Хранить при -20°C - 12 месяцев |
| Срок хранения | 12 месяцев |
| Производитель | AntibodySystem |
| Ссылка на страницу товара на сайте производителя | https://www.antibodysystem.com/product/36995.html |
|
Артикул
|
Наименование |
Производитель
|
|---|
|
Артикул
|
Наименование |
Производитель
|
|---|
Акции и предложения
Популярные продукты:
Anti-VSV G/Glycoprotein G Antibody (1E12#) (RVV09803)
Источник (хозяин): человек
Реактивность подтвержденная: вирусы
Валидировано для: ELISA, FCM
Реактивность подтвержденная: вирусы
Валидировано для: ELISA, FCM
Anti-VSV G/Glycoprotein G Antibody (0B1) (RVV09806)
Источник (хозяин): человек
Реактивность подтвержденная: вирусы
Валидировано для: ELISA, FCM
Реактивность подтвержденная: вирусы
Валидировано для: ELISA, FCM
Anti-Human RBP4 Monoclonal Antibody (1A396) (MHC00904)
Источник (хозяин): мышь
Реактивность подтвержденная: человек
Валидировано для: TIA
Реактивность подтвержденная: человек
Валидировано для: TIA
Anti-Human RBP4 Monoclonal Antibody (1A395) (MHC00903)
Источник (хозяин): мышь
Реактивность подтвержденная: человек
Валидировано для: TIA
Реактивность подтвержденная: человек
Валидировано для: TIA
Anti-DENV-2 NSP5/NS5 Antibody (2B3) (RVV32701)
Источник (хозяин): человек
Реактивность подтвержденная: вирусы
Валидировано для: ELISA
Реактивность подтвержденная: вирусы
Валидировано для: ELISA
Recombinant Human PDK1/PDPK1 Protein, N-His (YHA56301)
Источник (хозяин): E.coli
Организм: человек
Фрагмент: Lys83-Ala338
Теги: N-His
Биоактивность: нет
Организм: человек
Фрагмент: Lys83-Ala338
Теги: N-His
Биоактивность: нет

