| UNIPROT | P46937 |
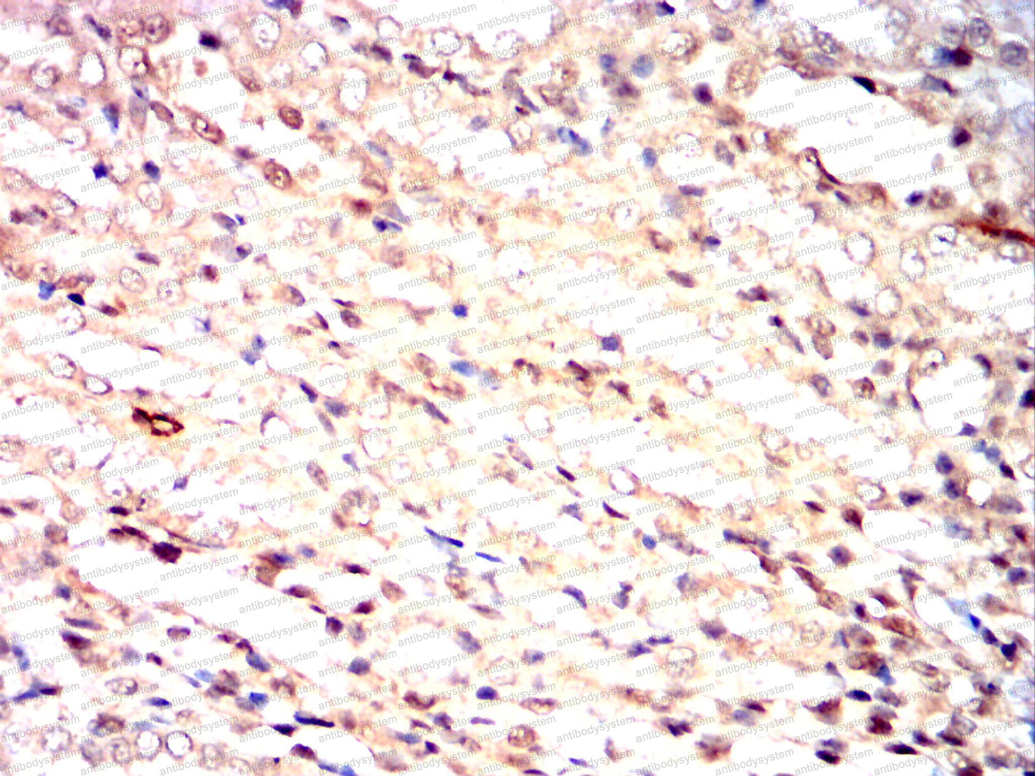
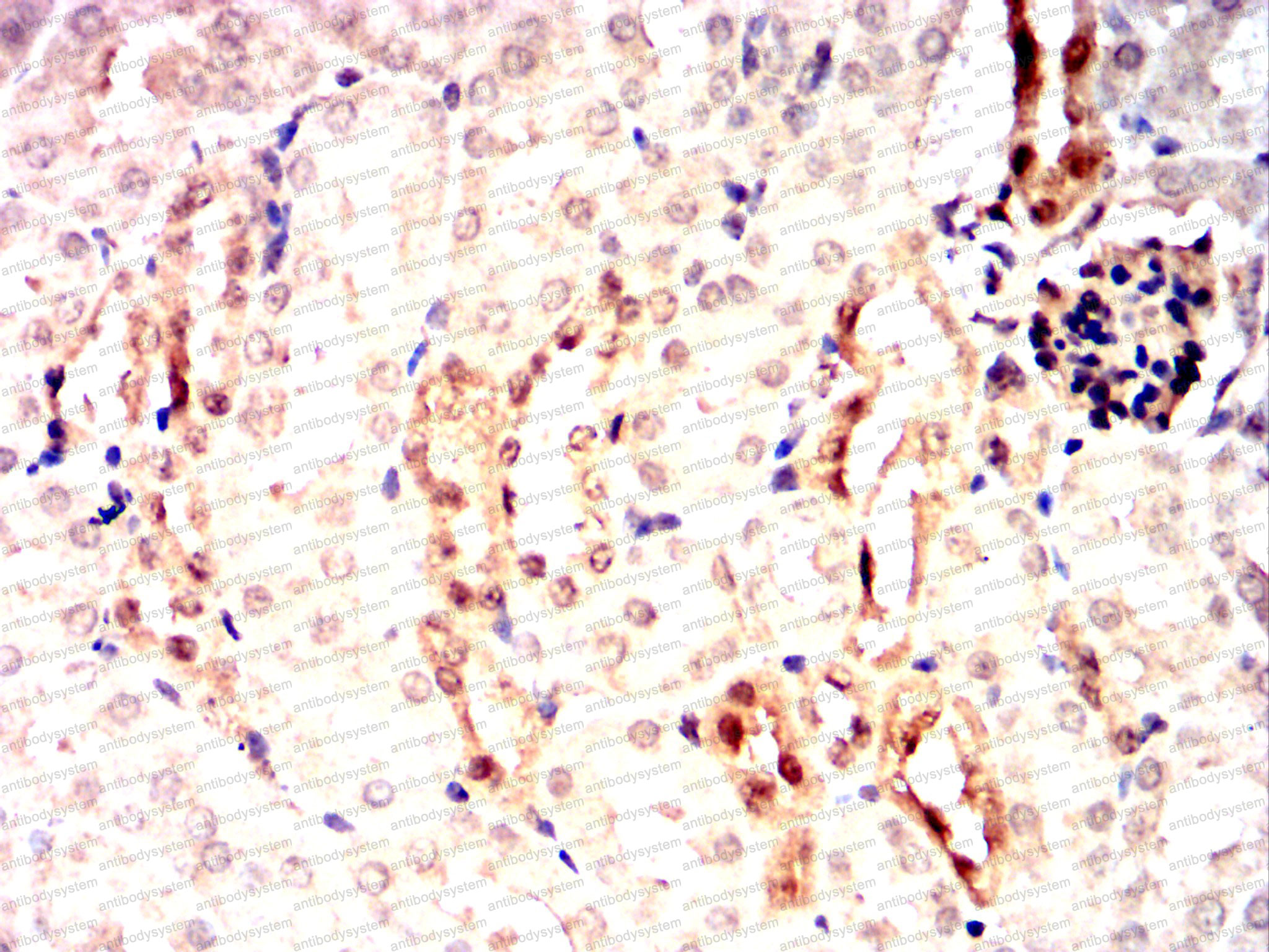
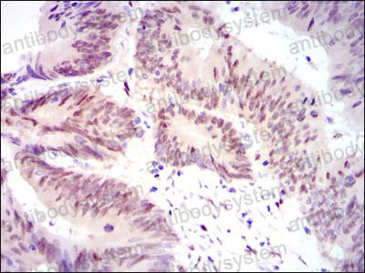
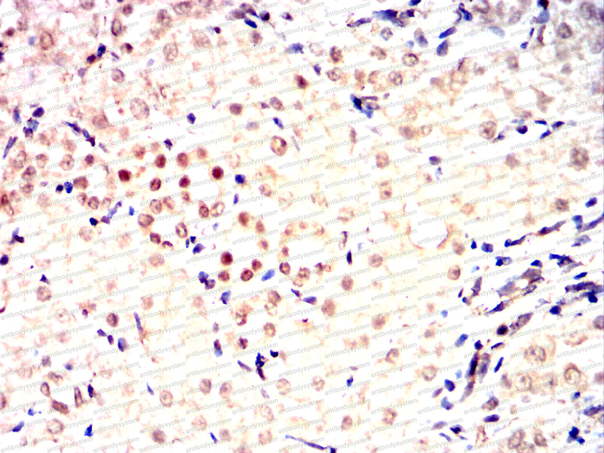
Anti-YAP1 Antibody (R3L59) (RHE50004)
Реактивность подтвержденная:
человек, мышь, крыса, кролик, обезьяна
Источник (хозяин):
мышь
Валидировано для:
ELISA
FCM
IHC
WB
Характеристики
Техническое описание
| Русское название | RHE50004 Моноклональное антитело к YAP1 (R3L59) <AntibodySystem,Китай> |
| Каталожный номер | RHE50004 |
| Название антигена | Yes Associated Protein 1 (YAP1) |
| UNIPROT | P46937 |
| Английские синонимы | YAP, YAP2, YAP65, Transcriptional coactivator YAP1, Protein yorkie homolog, Yes-associated protein YAP65 homolog |
Реактивность подтвержденная Нужна другая реактивность? |
человек, мышь, крыса, кролик, обезьяна |
| Источник (хозяин) | мышь |
| Изотип | IgG1 |
| Клональность | моноклональное |
| Клон | R3L59 |
| Рекомбинантное | да |
| Готовое к использованию | нет |
| Концентрация | 1 мг/мл |
| Конъюгат | нет |
| Валидировано для | ELISA FCM IHC WB Иммуноферментный анализ; Проточная цитометрия; Иммуногистохимия; Вестерн-блоттинг |
| Рекомендуемые разведения | ELISA: 1:10000, FCM: 1:200-1:400, IHC: 1:100-1:500, WB: 1:500-1:2000 |
| Метод очистки | Очистка с белками A/G из супернатанта клеточной культуры |
| Чистота | >95% |
| Состав буфера | 0.01M PBS, pH 7.4, 0.05% натрия азид |
| Условия хранения | Хранить при 4°C не более 1-2 недель. Хранить при -20°C - 12 месяцев |
| Срок хранения | 12 месяцев |
| Производитель | AntibodySystem |
| Ссылка на страницу товара на сайте производителя | https://www.antibodysystem.com/product/35731.html |
|
Артикул
|
Наименование |
Производитель
|
|---|
|
Артикул
|
Наименование |
Производитель
|
|---|
|
Артикул
|
Наименование |
Производитель
|
|---|
|
Артикул
|
Наименование |
Производитель
|
|---|
|
Артикул
|
Наименование |
Производитель
|
|---|
Акции и предложения
Популярные продукты:
Rabbit Sentan(SNTN) ELISA kit (E04S0388)
Организм: кролик
Rabbit Cytidine deaminase(CDA) ELISA kit (E04C1502)
Организм: кролик
Human Acid Phosphatase 1 ELISA kit (E01A0618)
Организм: человек
Диапазон определения: 2.5-50 нг/мл
Чувствительность: 0.1 нг/мл
Диапазон определения: 2.5-50 нг/мл
Чувствительность: 0.1 нг/мл
Mouse IgG2a Isotype Control Antibody (C1.18.4), FITC (FMB96721)
Источник (хозяин): мышь
Валидировано для: CTRL, FCM
Валидировано для: CTRL, FCM
Anti-Ranibizumab Polyclonal Antibody (PAD12601)
Источник (хозяин): кролик
Реактивность подтвержденная: для всех
Валидировано для: ELISA
Реактивность подтвержденная: для всех
Валидировано для: ELISA

